missing translation for 'onlineSavingsMsg'
Learn More
Learn More
Invitrogen™ Phospho-NFkB p100 (Ser870) Polyclonal Antibody

Rabbit Polyclonal Antibody
Brand: Invitrogen™ PA537663
This item is not returnable.
View return policy
Description
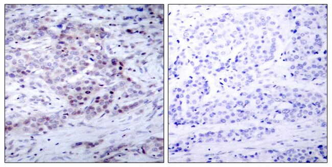
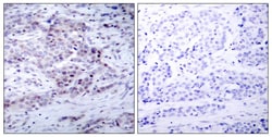
A suggested positive control for Western blot is MDA-MB-435 cells; suggested positive control for IHC is human breast carcinoma; suggested positive control for ICC/IF is Hela cells.
This gene encodes a subunit of the transcription factor complex nuclear factor-kappa-B (NFkB). The NFkB complex is expressed in numerous cell types and functions as a central activator of genes involved in inflammation and immune function. The protein encoded by this gene can function as both a transcriptional activator or repressor depending on its dimerization partner. The p100 full-length protein is co-translationally processed into a p52 active form. Chromosomal rearrangements and translocations of this locus have been observed in B cell lymphomas, some of which may result in the formation of fusion proteins. There is a pseudogene for this gene on chromosome 18. Alternative splicing results in multiple transcript variants.
Specifications
| Phospho-NFkB p100 (Ser870) | |
| Polyclonal | |
| Unconjugated | |
| Nfkb2 | |
| CVID10; DNA-binding factor KBF2; H2TF1; Lymphocyte translocation chromosome 10 protein; lyt; Lyt10; LYT-10; NF kappaB2; NF-kappaB2; NF-kB p100; NFKB, p52/p100 subunit; NFKB2; NF-kB2; nuclear factor kappa B subunit 2; nuclear factor Kappa-B, subunit 2; nuclear factor NF-kappa-B p100 subunit; Nuclear factor NF-kappa-B p52 subunit; nuclear factor of Kappa light chain gene enhancer in B cells 2; nuclear factor of kappa light polypeptide gene enhancer in B cells 2, p49/p100; Nuclear factor of kappa light polypeptide gene enhancer in B-cells 2; nuclear factor of kappa light polypeptide gene enhancer in B-cells 2 (p49/p100); nuclear factor of kappa light polypeptide gene enhancer in B-cells 2, p49/p100; oncogene Lyt-10; p100; p49; p49/p100; p50B; p52; RGD1307189; transcription factor NFKB2 | |
| Rabbit | |
| Antigen affinity chromatography | |
| RUO | |
| 18034, 309452, 4791 | |
| -20°C | |
| Liquid |
| Immunohistochemistry (Paraffin), Western Blot, Immunocytochemistry | |
| 1 mg/mL | |
| PBS with 50% glycerol and 0.02% sodium azide; pH 7.4 | |
| Q00653, Q9WTK5 | |
| Nfkb2 | |
| Peptide sequence around phosphorylation site of serine 870(Y-G-S(p)-Q-S) derived from Human NF-kappa-B-p100/p52. | |
| 100 μL | |
| Primary | |
| Human, Mouse, Rat | |
| Antibody | |
| IgG |
Product Content Correction
Your input is important to us. Please complete this form to provide feedback related to the content on this product.
Product Title
Spot an opportunity for improvement?Share a Content Correction