missing translation for 'onlineSavingsMsg'
Learn More

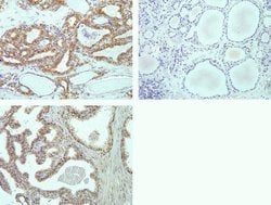
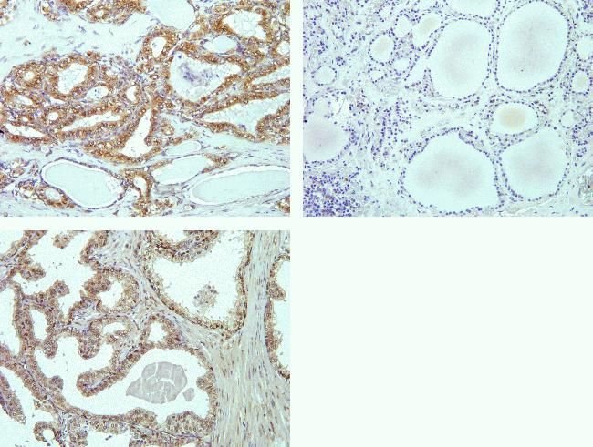
Invitrogen™ Phospho-MNK1 (Thr197, Thr202) Recombinant Rabbit Monoclonal Antibody (18H4L11)

Rabbit Recombinant Monoclonal Antibody

Brand:  Invitrogen™ 700242

Product Code. 15346954

  • £445.00 / 100µg

Please to purchase this item. Need a web account? Register with us today!

This item is not returnable. View return policy

Description

Description

This antibody is predicted to react with bovine, canine, chicken, chimpanzee, equine, mouse, primate, rat, Rhesus monkey , porcine, Xenopus and zebrafish based on sequence homology. Intact IgG appears on a non-reducing gel as ~150 kDa band and upon reduction generating a ~25 kDa light chain band and a ~50 kDa heavy chain. Recombinant rabbit monoclonal antibodies are produced using in vitro expression systems. The expression systems are developed by cloning in the specific antibody DNA sequences from immunoreactive rabbits. Then, individual clones are screened to select the best candidates for production. The advantages of using recombinant rabbit monoclonal antibodies include: better specificity and sensitivity, lot-to-lot consistency, animal origin-free formulations, and broader immunoreactivity to diverse targets due to larger rabbit immune repertoire.

The Map kinase-interacting kinases (MKNK1 and MKNK2) are activated by Map kinases, regulate protein synthesis by phosphroylation eIF4E on Ser209, and may contribute to tumorigenesis. Overexpression of Mnk2 results in increased phosphorylation of endogenous eIF-4E, showing that it can act as an eIF-4E kinase in vivo. Mnk2 may play a role in the response to environmental stress and cytokines. Expression of active mutants of MNK1 and MNK2 in 293 cells diminishes cap-dependent translation relative to cap-independent translation in a transient reporter assay. Human Mnk2 is homologous to murine Mnk2 (approximately 94% identical) and human Mnk1 (71% identical). In vitro phosphorylation studies show that Mnk2 is a significantly better substrate than Mnk1 for extracellular signal-regulated kinase 2 (Erk2), p38MAPKalpha, and p38MAPKbeta.
TRUSTED_SUSTAINABILITY
Specifications

Specifications

Phospho-MNK1 (Thr197, Thr202)
Recombinant Monoclonal
0.5 mg/mL
PBS with 0.09% sodium azide
Q9BUB5
MKNK1
A peptide corresponding to amino acids 195-204 of Q9BUB5.
100 μg
Primary
Human
Antibody
IgG
Immunohistochemistry (Paraffin), Immunocytochemistry
18H4L11
Unconjugated
MKNK1
2410048M24Rik; MAP kinase interacting serine/threonine kinase 1; MAP kinase signal-integrating kinase 1; MAP kinase-interacting serine/threonine kinase 1; MAP kinase-interacting serine/threonine-protein kinase 1; MAPK signal-integrating kinase 1; MKNK1; Mnk1; OTTHUMP00000009675; OTTHUMP00000009676
Rabbit
Protein A
RUO
8569
Store at 4°C short term. For long term storage, store at -20°C, avoiding freeze/thaw cycles.
Liquid
Product Suggestions

Product Suggestions

Videos
SDS
Documents

Documents

Certificates
Promotions

Promotions

Product Content Correction

Your input is important to us. Please complete this form to provide feedback related to the content on this product.

Product Title

By clicking Submit, you acknowledge that you may be contacted by Fisher Scientific in regards to the feedback you have provided in this form. We will not share your information for any other purposes. All contact information provided shall also be maintained in accordance with our Privacy Policy.

Thank You! Your feedback has been submitted. Fisher Scientific is always working to improve our content for you. We appreciate your feedback.