missing translation for 'onlineSavingsMsg'
Learn More

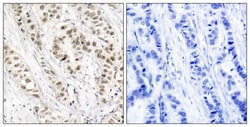
Invitrogen™ Phospho-BRCA1 (Ser1524) Polyclonal Antibody

Rabbit Polyclonal Antibody

Brand:  Invitrogen™ PA537495

Product Code. 15514441

  • £441.00 / 100µL

Please to purchase this item. Need a web account? Register with us today!

This item is not returnable. View return policy

Description

Description

A suggested positive control for IHC is human breast carcinoma.

BRCA1 (breast and ovarian cancer susceptibility protein 1) is a nuclear phosphoprotein that plays a role in maintaining genomic stability and acts as a tumor suppressor in combination with other tumor suppressors, DNA damage sensors, and signal transducers to form a large multi-subunit protein complex known as BASC (for BRCA1 associated genome surveillance complex). BRCA1 associates with RNA polymerase II, and through the C terminal domain, also interacts with histone deacetylase complex. The BRCA1 protein thus plays a role in transcription, DNA repair of double-stranded breaks, and recombination. Mutations in the BRCA1 gene are responsible for approximately 40% of inherited breast cancers and more than 80% of inherited breast and ovarian cancers. Alternative splicing plays a role in modulating the subcellular localization and physiological function of this gene. Many alternatively spliced transcript variants, some of which are disease-associated mutations, have been described for this gene, but the full-length natures of only some of these variants has been described. A related pseudogene, which is also located on chromosome 17, has been identified.
TRUSTED_SUSTAINABILITY
Specifications

Specifications

Phospho-BRCA1 (Ser1524)
Polyclonal
Unconjugated
BRCA1
brca 1; Brca1; brca-1; BRCA1, DNA repair associated; BRCA1/BRCA2-containing complex, subunit 1; BRCAI; BRCC1; breast and ovarian cancer susceptibility protein 1; breast and ovarian cancer sususceptibility protein 1; breast cancer 1; breast cancer 1 early onset; breast cancer 1, early onset; breast cancer associated 1; breast cancer type 1 susceptibility protein; Breast cancer type 1 susceptibility protein homolog; BROVCA1; BROVCA12; Delta772-3095; early onset breast cancer 1; Fanconi anemia, complementation group S; FANCS; IRIS; OTTHUMP00000212147; OTTHUMP00000212148; OTTHUMP00000212149; OTTHUMP00000212150; OTTHUMP00000212151; OTTHUMP00000212155; PNCA4; PPP1R53; protein phosphatase 1, regulatory subunit 53; PSCP; RING finger protein 53; RING-type E3 ubiquitin transferase BRCA1; RNF53; truncated BRCA1; truncated breast and ovarian cancer susceptibility protein 1; truncated breast and ovarian cancer sususceptibility protein 1; truncated breast cancer type 1 susceptibility protein
Rabbit
Antigen affinity chromatography
RUO
672
Store at 4°C short term. For long term storage, store at -20°C, avoiding freeze/thaw cycles.
Liquid
Immunohistochemistry (Paraffin)
1 mg/mL
PBS with 50% glycerol and 0.02% sodium azide; pH 7.4
P38398
BRCA1
Peptide sequence around phosphorylation site of serine 1524 (Y-P-S(p)-Q-E) derived from Human BRCA1.
100 μL
Primary
Human
Antibody
IgG
Product Suggestions

Product Suggestions

Videos
SDS
Documents

Documents

Certificates
Promotions

Promotions

Product Content Correction

Your input is important to us. Please complete this form to provide feedback related to the content on this product.

Product Title

By clicking Submit, you acknowledge that you may be contacted by Fisher Scientific in regards to the feedback you have provided in this form. We will not share your information for any other purposes. All contact information provided shall also be maintained in accordance with our Privacy Policy.

Thank You! Your feedback has been submitted. Fisher Scientific is always working to improve our content for you. We appreciate your feedback.