missing translation for 'onlineSavingsMsg'
Learn More
Learn More
Invitrogen™ Phospho-ATF2 (Ser498) Polyclonal Antibody

Rabbit Polyclonal Antibody
Brand: Invitrogen™ PA536785
This item is not returnable.
View return policy
Description
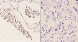
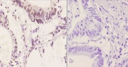
This antibody detects endogenous protein at a molecular weight of 55-75 kDa. Purity is >95% by SDS-PAGE.
The transcription factor ATF-2 (also called CRE-BP1) binds to both AP-1 and CRE DNA response elements and is a member of the ATF/CREB family of leucine zipper proteins. ATF-2 interacts with a variety of viral oncoproteins and cellular tumor suppressors and is a target of the SAPK/JNK and p38 MAP kinase signaling pathways. Various forms of cellular stress, including genotoxic agents, inflammatory cytokines and UV irradiation, stimulate the transcriptional activity of ATF-2. Cellular stress activates ATF-2 by phosphorylation of Thr69 and Thr71. Both SAPK and p38 MAPK have been shown to phosphorylate ATF-2 at these sites in vitro and in cells transfected with ATF-2.
Specifications
| Phospho-ATF2 (Ser498) | |
| Polyclonal | |
| Unconjugated | |
| Atf2 | |
| Activating 2; Activating transcription factor 2; activating transcription factor 2 splice variant ATF2-var2; ATF2; Atf-2; cAMP response element-binding protein CRE-BP1; cAMP responsive element binding protein 2, formerly; cAMP-dependent transcription factor ATF-2; CREB2; CREB-2; CRE-BP; CREBP1; CRE-BP1; Cyclic AMP-dependent transcription factor ATF-2; cyclic AMP-responsive element-binding protein 2; D130078H02Rik; D18875; HB16; Histone acetyltransferase ATF2; MGC111558; mXBP; MXBP protein; OTTHUMP00000205345; OTTHUMP00000205347; OTTHUMP00000205348; OTTHUMP00000205350; OTTHUMP00000205352; OTTHUMP00000205353; OTTHUMP00000205354; Tg(Gzma-Klra1)7Wum; TREB7 | |
| Rabbit | |
| Antigen affinity chromatography | |
| RUO | |
| 11909, 1386 | |
| Store at 4°C short term. For long term storage, store at -20°C, avoiding freeze/thaw cycles. | |
| Liquid |
| Immunohistochemistry (Paraffin), Western Blot | |
| 1 mg/mL | |
| PBS with 50% glycerol and 0.02% sodium azide; pH 7.2 | |
| P15336, P16951 | |
| Atf2 | |
| Synthetic phosphopeptide derived from human ATF2 around the phosphorylation site of Serine 498. | |
| 100 μL | |
| Primary | |
| Human, Mouse | |
| Antibody | |
| IgG |
Product Content Correction
Your input is important to us. Please complete this form to provide feedback related to the content on this product.
Product Title
Spot an opportunity for improvement?Share a Content Correction