missing translation for 'onlineSavingsMsg'
Learn More
Learn More
Invitrogen™ NSE Polyclonal Antibody

Rabbit Polyclonal Antibody
Brand: Invitrogen™ PA129117
This item is not returnable.
View return policy
Description
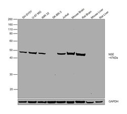
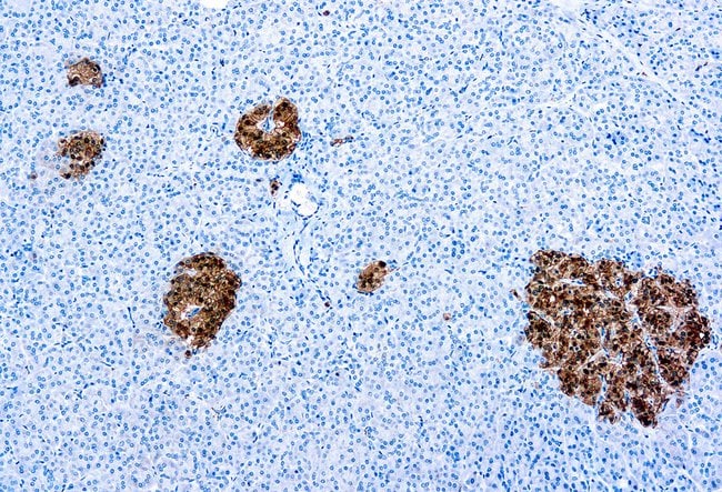
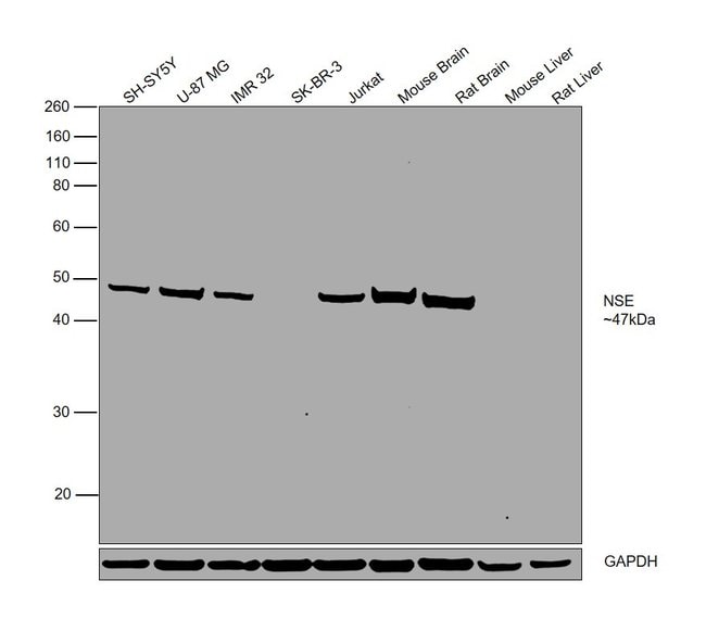
Recommended positive controls: Brain, Pancreas. PA1-29117 has been successfully used in immunohistochemistry (frozen tissue), immunohistochemistry (paraffin tissue) applications.
Neuron specific enolase (NSE, ENO1, ENO2, ENO3) is an enzyme that catalyzes the conversion of 2-phosphoglycerate to phosphoenolpyruvate in the glycolytic pathway, and the reverse reaction in gluconeogenesis. NSE has a high stability in biological fluids and can easily diffuse to the extracellular medium and cerebrospinal fluid (CSF) when neuronal membranes are injured.NSE is one of three mammalian enolases, which are also known as ENO1, ENO2, and ENO3 or alternately as enolase alpha, beta and gamma. The alpha-subunit is expressed in most tissues, the beta-subunit only in muscle, and the gamma-subunit is expressed primarily in neurons, in normal and in neoplastic neuroendocrine cells. Co-expression of NSE and chromogranin A is common in neuroendocrine neoplasms. Since neurons require a great deal of energy, they are very rich in glycolytic enzymes such a GAPDH and NSE. Antibodies to NSE protein are useful to identify neuronal cell bodies, developing neuronal lineage and neuroendocrine cells. Release of NSE from damaged neurons into CSF and blood has also been used as a biomarker of neuronal injury. NSE is used clinically as a sensitive and useful marker of neuronal damage in several neurological disorders including stroke, hypoxic brain damage, status epilepticus, Creutzfeldt-Jakob disease, and herpetic encephalitis. Further, NSE is found in elevated concentrations in plasma and certain neoplasias that include pediatric neuroblastoma and small cell lung cancer.
Specifications
| NSE | |
| Polyclonal | |
| Unconjugated | |
| ENO2 | |
| 2-phospho-D-glycerate hydrolyase; 2-phospho-D-glycerate hydro-lyase; AI837106; D6Ertd375e; Eno; ENO2; Eno-2; ENOG; Enolase 2; enolase 2 (gamma, neuronal); enolase 2, gamma neuronal; enolase 2, gamma, neuronal; epididymis secretory protein Li 279; gamma enolase; gamma-enolase; gamma-enolase-like; gamma-subunit of enolase; HEL-S-279; LOC100911625; Neural enolase; neuron specific enolase; neuron specific gamma enolase; Neuronal Enolase; neuronal enriched enolase; neurone-specific enolase; neuron-specific enolase; NSE; RNEN3 | |
| Rabbit | |
| IgG fraction | |
| RUO | |
| 2026, 526006 | |
| 4°C | |
| Liquid |
| Immunohistochemistry (Paraffin), Western Blot | |
| 0.121 μg/mL | |
| PBS with 0.09% sodium azide | |
| P09104 | |
| ENO2 | |
| Neuron specific enolase (gamma-gamma isoenzyme) isolated from bovine brain. | |
| 6 mL | |
| Primary | |
| Human, Bovine | |
| Antibody | |
| IgG |
Product Content Correction
Your input is important to us. Please complete this form to provide feedback related to the content on this product.
Product Title
Spot an opportunity for improvement?Share a Content Correction