missing translation for 'onlineSavingsMsg'
Learn More
Learn More
Invitrogen™ PNR Polyclonal Antibody

Rabbit Polyclonal Antibody
Brand: Invitrogen™ PA534004
This item is not returnable.
View return policy
Description
Percent identity with other species by BLAST analysis: Human, Gorilla, Monkey (100%) Gibbon, Marmoset, Mouse, Hamster (94%) Bovine (89%) Elephant, Pig (83%).
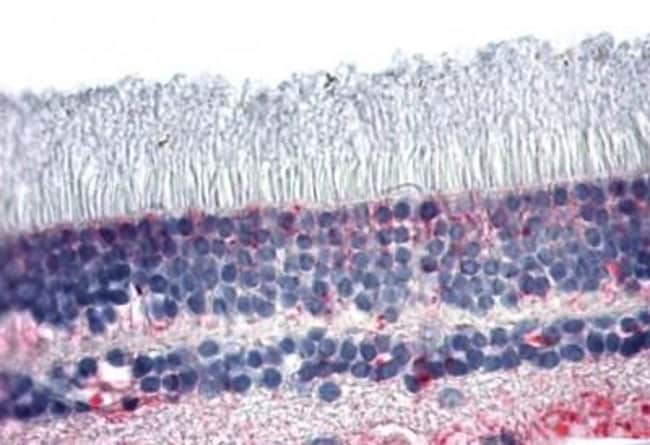
NR2E3, a NR2 Hepatocyte NF4-Like Receptor, has been suggested to affect cone cell proliferation in eye development. It has been shown to have a role in determining photoreceptor phenotype during human retinogenesis. In RD7 mice, a deletion in NR2E3 results in hereditary retinal dysplasia and degeneration. A homozygous missense mutation in NR2E3 has been linked to retinitis pigmentosa in Crypto-Jews of Belmonte. Two alternatively spliced isoforms have been documented. NR2E3 is expressed in the retina. ESTs have been isolated from cancerous human lung, colon, and ovary, and from normal human eye.
Specifications
| PNR | |
| Polyclonal | |
| Unconjugated | |
| NR2E3 | |
| A930035N01Rik; ESCS; MGC138414; MGC138416; Nr2e3; Nuclear receptor subfamily 2 group E member 3; nuclear receptor subfamily 2, group E, member 3; photoreceptor-specific nuclear receptor; PNR; rd7; retinal degeneration 7; Retina-specific nuclear receptor; Rnr; RP11-295F4.5; RP37; taR-5 | |
| Rabbit | |
| Antigen affinity chromatography | |
| RUO | |
| 10002 | |
| Store at 4°C short term. For long term storage, store at -20°C, avoiding freeze/thaw cycles. | |
| Liquid |
| Immunohistochemistry (Paraffin) | |
| 0.5 mg/mL | |
| PBS with 0.1% sodium azide | |
| Q9Y5X4 | |
| NR2E3 | |
| Synthetic 18 amino acid peptide from near N-terminus of human NR2E3. | |
| 50 μg | |
| Primary | |
| Human | |
| Antibody | |
| IgG |
Product Content Correction
Your input is important to us. Please complete this form to provide feedback related to the content on this product.
Product Title
Spot an opportunity for improvement?Share a Content Correction