missing translation for 'onlineSavingsMsg'
Learn More

Cytokeratin 17 Rabbit anti-Human, Rat, Polyclonal, Invitrogen™

Rabbit Polyclonal Antibody

Brand:  Invitrogen PA532461

Product Code. 13476977

This item is currently unavailable or has been discontinued.
View the product page for possible alternatives.
View alternative products »

This item is not returnable. View return policy

Description

Description

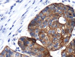
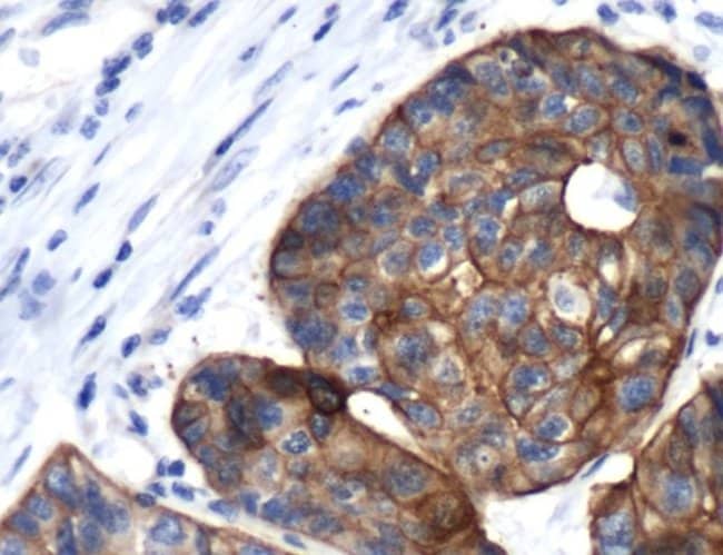
Heat-mediated antigen retrieval is recommended prior to staining, using a 1mM EDTA buffer, pH 8.0, for 10 minutes followed by cooling at room temperature for 20 min. Following antigen retrieval, incubate samples with primary antibody for 30 min at room temperature. A suggested positive control is lung or prostate carcinoma.

Keratin 17 plays a role in the formation and maintece of various skin appendages, specifically in determining shape and orientation of hair. It may be a marker of basal cell differentiation in complex epithelia and therefore indicative of a certain type of epithelial "stem cells." It also acts as an autoantigen in the immunopathogenesis of psoriasis, with certain peptide regions being a major target for autoreactive T-cells and hence causing their proliferation. It is required for the correct growth of hair follicles, in particular for the persistence of the anagen (growth) state and modulates the function of TNF-alpha in the specific context of hair cycling. It regulates protein synthesis and epithelial cell growth through binding to the adapter protein SFN and by stimulating Akt/mTOR pathway and is involved in tissue repair. Keratin 17 is expressed in the outer root sheath and medulla region of hair follicle specifically from eyebrow and beard, digital pulp, nail matrix and nail bed epithelium, mucosal stratified squamous epithelia and in basal cells of oral epithelium, palmoplantar epidermis and sweat and mammary glands. It is also expressed in myoepithelium of prostate, basal layer of urinary bladder, cambial cells of sebaceous gland and in exocervix (at protein level).
TRUSTED_SUSTAINABILITY
Specifications

Specifications

Cytokeratin 17
Polyclonal
KRT17
K17, PC, PC2, PCHC1, 39.1, CK-17, cytokeratin-17, keratin 17 epitope S1, keratin 17 epitope S2, keratin 17 epitope S4, keratin, type I cytoskeletal 17, keratin-17
Rabbit
Antigen affinity chromatography
RUO
287702, 3872
4° C, do not freeze
Liquid
Immunohistochemistry (Paraffin), Western Blot
Unconjugated
Q6IFU8, Q04695
KRT17
Synthetic peptide derived from C-terminus of human keratin 17 protein
500 μL
Primary
Human, Rat
Antibody
IgG
Product Suggestions

Product Suggestions

Videos
SDS
Documents

Documents

Certificates
Promotions

Promotions

Product Content Correction

Your input is important to us. Please complete this form to provide feedback related to the content on this product.

Product Title

By clicking Submit, you acknowledge that you may be contacted by Fisher Scientific in regards to the feedback you have provided in this form. We will not share your information for any other purposes. All contact information provided shall also be maintained in accordance with our Privacy Policy.

Thank You! Your feedback has been submitted. Fisher Scientific is always working to improve our content for you. We appreciate your feedback.