missing translation for 'onlineSavingsMsg'
Learn More

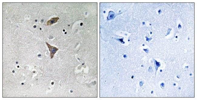
KCNT1 Polyclonal Antibody, Invitrogen™

Rabbit Polyclonal Antibody

Brand:  Invitrogen PA539349

Product Code. 15506261

  • £414.00 / 100µg

Please to purchase this item. Need a web account? Register with us today!

This item is not returnable. View return policy

Description

Description

Potassium channels represent the most complex class of voltage-gated ion channels from both functional and structural standpoints. Their diverse functions include regulating neurotransmitter release, heart rate, insulin secretion, neuronal excitability, epithelial electrolyte transport, smooth muscle contraction, and cell volume. This gene encodes a sodium-activated potassium channel subunit which is thought to function in ion conductance and developmental signaling pathways. Mutations in this gene cause the early-onset epileptic disorders, maligt migrating partial seizures of infancy and autosomal domit nocturnal frontal lobe epilepsy. Alternative splicing results in multiple transcript variants. [provided by RefSeq, Dec 2012].
TRUSTED_SUSTAINABILITY
Specifications

Specifications

KCNT1
Polyclonal
Unconjugated
KCNT1
KIAA1422
Rabbit
Antigen affinity chromatography
RUO
227632, 57582, 60444
-20°C
Liquid
Immunohistochemistry (Paraffin)
1 mg/mL
Dulbecco′s PBS with 150mM NaCl, 50% glycerol and 0.02% sodium azide; pH 7.4
Q5JUK3, Q6ZPR4, Q9Z258
KCNT1
A synthetic peptide derived from the C-terminal region of human KCNT1
100 μg
Primary
Human, Mouse, Rat
Antibody
IgG
Product Suggestions

Product Suggestions

Videos
SDS
Documents

Documents

Certificates
Promotions

Promotions

Product Content Correction

Your input is important to us. Please complete this form to provide feedback related to the content on this product.

Product Title

By clicking Submit, you acknowledge that you may be contacted by Fisher Scientific in regards to the feedback you have provided in this form. We will not share your information for any other purposes. All contact information provided shall also be maintained in accordance with our Privacy Policy.

Thank You! Your feedback has been submitted. Fisher Scientific is always working to improve our content for you. We appreciate your feedback.