Learn More
Invitrogen™ HSP60 Polyclonal Antibody

Rabbit Polyclonal Antibody
Brand: Invitrogen™ PA534760
Description
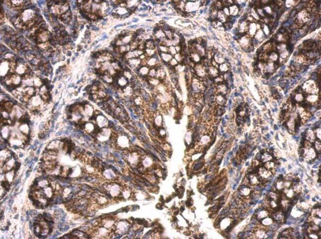
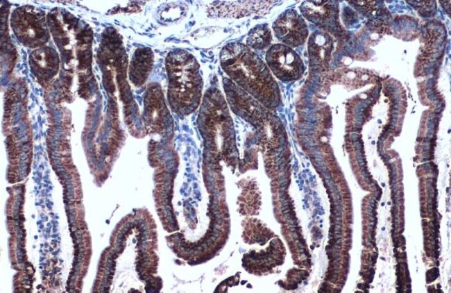
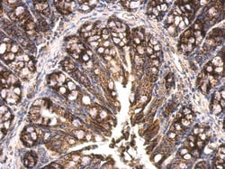
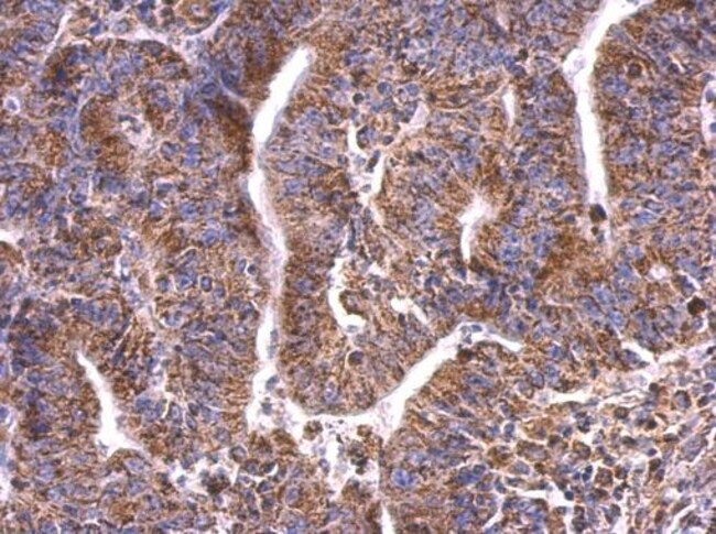
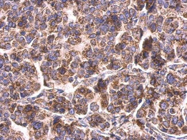
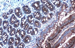
Recommended positive controls: 293T, A431, HeLa, HepG2, mouse brain, rat brain. Predicted reactivity: Mouse (97%), Rat (97%), Zebrafish (85%), Xenopus laevis (91%), Pig (99%), Chicken (94%), Rhesus Monkey (97%), Chimpanzee (99%), Bovine (98%). Store product as a concentrated solution. Centrifuge briefly prior to opening the vial.
This gene encodes a member of the chaperonin family. The encoded mitochondrial protein may function as a signaling molecule in the innate immune system. This protein is essential for the folding and assembly of newly imported proteins in the mitochondria. This gene is adjacent to a related family member and the region between the 2 genes functions as a bidirectional promoter. Several pseudogenes have been associated with this gene. Two transcript variants encoding the same protein have been identified for this gene. Mutations associated with this gene cause autosomal recessive spastic paraplegia 13.
Specifications
| HSP60 | |
| Polyclonal | |
| Unconjugated | |
| HSPD1 | |
| 60 kDa chaperonin; 60 kDa heat shock protein; 60 kDa heat shock protein, mitochondrial; 60kDa; Chaperonin 60; CPN60; GROEL; heat shock 60kD protein 1 (chaperonin); heat shock 60kDa protein 1; heat shock 60kDa protein 1 (chaperonin); Heat shock protein; heat shock protein 1 (chaperonin); heat shock protein 60; heat shock protein 60 (liver); heat shock protein 65; heat shock protein family D (Hsp60) member 1; heat shock protein, 60 kDa; HLD4; HSP; Hsp60; HSP-60; Hsp60s1; HSP65; HSP-65; Hspd1; Hspd1-30p; HuCHA60; hypothetical protein; I79_011398; mitochondrial matrix protein P1; P1 protein; P60 lymphocyte protein; RCJMB04_7g5; short heat shock protein 60 Hsp60s1; SPG13; Unknown (protein for IMAGE:7943409) | |
| Rabbit | |
| Antigen affinity chromatography | |
| RUO | |
| 100689473, 15510, 3329, 63868 | |
| Store at 4°C short term. For long term storage, store at -20°C, avoiding freeze/thaw cycles. | |
| Liquid |
| ELISA, Immunohistochemistry (Paraffin), Western Blot, Immunocytochemistry | |
| 0.3 mg/mL | |
| PBS with 1% BSA, 20% glycerol and 0.025% ProClin 300; pH 7 | |
| P10809, P18687, P63038, P63039 | |
| HSPD1 | |
| Recombinant protein encompassing a sequence within the center region of human HSP60. The exact sequence is proprietary. | |
| 100 μL | |
| Primary | |
| Hamster, Human, Mouse, Rat | |
| Antibody | |
| IgG |
Your input is important to us. Please complete this form to provide feedback related to the content on this product.