Learn More
Invitrogen™ SERPINH1 Polyclonal Antibody

Rabbit Polyclonal Antibody
Brand: Invitrogen™ PA527832
Description
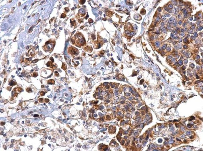
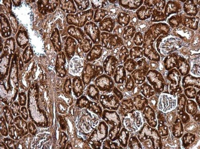
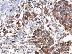
Recommended positive controls: NIH-3T3, A431, HeLa, HepG2, U87-MG, SK-N-SH, IMR32, SK-N-AS. Predicted reactivity: Mouse (97%), Rat (97%), Dog (98%), Pig (96%), Chicken (88%), Sheep (96%), Rhesus Monkey (100%), Chimpanzee (100%), Bovine (96%). Store product as a concentrated solution. Centrifuge briefly prior to opening the vial.
SERPINH1 is a member of the serpin superfamily of serine proteinase inhibitors, and its expression is induced by heat shock. The SERPINH1 protein localizes to the endoplasmic reticulum lumen and binds collagen; thus it is thought to be a molecular chaperone involved in the maturation of collagen molecules. Autoantibodies to SERPINH1 have been found in patients with rheumatoid arthritis.
Specifications
| SERPINH1 | |
| Polyclonal | |
| Unconjugated | |
| SERPINH1 | |
| 47 kDa heat shock protein; arsenic-transactivated protein 3; AsTP 3; AsTP3; BERF-1; beta enolase repressor factor 1; CBP 1; CBP 2; CBP1; CBP2; Cell proliferation-inducing gene 14 protein; collagen binding protein 1; collagen binding protein 2; collagen-binding protein; Colligen; Colligin; Colligin 1; Colligin 2; colligin-1; colligin-2; GP46; heat shock protein 47; HGNC 1547; Hsp 47; HSP47; J6; OI10; PIG 14; PIG14; PPROM; RA A47; RA-A47; rheumatoid arthritis antigen A-47; rheumatoid arthritis-related antigen RA-A47; serine (or cysteine) peptidase inhibitor, clade H, member 1; serine (or cysteine) proteinase inhibitor, clade H (heat shock protein 47), member 1; serine (or cysteine) proteinase inhibitor, clade H (heat shock protein 47), member 1, (collagen binding protein 1); serine (or cysteine) proteinase inhibitor, clade H (heat shock protein 47), member 2; serine (or cysteine) proteinase inhibitor, clade H (heat shock protein 47), member 2, (collagen-binding protein 2); serine (or cysteine) proteinase inhibitor, clade H, member 1; serine protease inhibitor J6; serine proteinase inhibitor, clade H (heat shock protein 47), member 1; serpin family H member 1; serpin H1; serpin peptidase inhibitor, clade H (heat shock protein 47), member 1, (collagen binding protein 1); serpin peptidase inhibitor, clade H, member 1; SERPINH1; SERPINH2 | |
| Rabbit | |
| Antigen affinity chromatography | |
| RUO | |
| 12406, 871 | |
| Store at 4°C short term. For long term storage, store at -20°C, avoiding freeze/thaw cycles. | |
| Liquid |
| Immunohistochemistry (Paraffin), Western Blot, Immunocytochemistry | |
| 0.37 mg/mL | |
| 0.1M tris glycine with 20% glycerol and 0.01% thimerosal; pH 7 | |
| P19324, P50454 | |
| SERPINH1 | |
| Recombinant protein encompassing a sequence within the center region of human HSP47. The exact sequence is proprietary. | |
| 100 μL | |
| Primary | |
| Human, Mouse | |
| Antibody | |
| IgG |
Your input is important to us. Please complete this form to provide feedback related to the content on this product.