missing translation for 'onlineSavingsMsg'
Learn More

hemopoietic cell kinase, Rabbit, Purified MaxPab™ Polyclonal Antibody, Abnova™

Rabbit polyclonal antibody raised against a full-length human HCK protein.

Brand:  Abnova H00003055-D01P.100ug

Product Code. 16119204

  • £316.00 / 100µg

Please to purchase this item. Need a web account? Register with us today!

This item is not returnable. View return policy

Description

Description

The protein encoded by this gene is a protein-tyrosine kinase that is predominantly expressed in hemopoietic cell types. The encoded protein may help couple the Fc receptor to the activation of the respiratory burst. In addition, it may play a role in neutrophil migration and in the degranulation of neutrophils. Alternate translation initiation site usage, including a non-AUG (CUG) codon, results in the production of two different isoforms, that have different subcellular localization. [provided by RefSeq

Sequence: MGCMKSKFLQVGGNTFSKTETSASPHCPVYVPDPTSTIKPGPNSHNSNTPGIREAGSEDIIVVALYDYEAIHHEDLSFQKGDQMVVLEESGEWWKARSLATRKEGYIPSNYVARVDSLETEEWFFKGISRKDAERQLLAPGNMLGSFMIRDSETTKGSYSLSVRDYDPRQGDTVKHYKIRTLDNGGFYISPRSTFSTLQELVDHYKKGNDGLCQKLSVPCMSSKPQKPWEKDAWEIPRESLKLEKKLGAGQFGEVWMATYNKHTKVAVKTMKPGSMSVEAFLAEANVMKTLQHDKLVKLHAVVTKEPIYIITEFMAKGSLLDFLKSDEGSKQPLPKLIDFSAQIAEGMAFIEQRNYIHRDLRAANILVSASLVCKIADFGLARVIEDNEYTAREGAKFPIKWTAPEAINFGSFTIKSDVWSFGILLMEIVTYGRIPYPGMSNPEVIRALERGYRMPRPENCPEELYNIMMRCWKNRPEERPTFEYIQSVLDDFYTATESQYQQQP
Specifications

Specifications

hemopoietic cell kinase
Polyclonal
Rabbit polyclonal antibody raised against a full-length human HCK protein.
HCK
JTK9
Rabbit
Affinity Purified
RUO
Primary
Human
Antibody
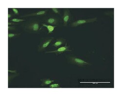
Immunofluorescence, In situ PLA, Western Blot
Unconjugated
PBS with no preservative; pH 7.4
ENST00000375852
HCK
HCK (ENSP00000365012, 1 a.a. ∼ 505 a.a) full-length human protein.
100 μg
Kinases
3055
Store at -20°C or lower. Aliquot to avoid repeated freezing and thawing.
IgG
Product Suggestions

Product Suggestions

Videos
SDS
Documents

Documents

Certificates
Promotions

Promotions

Product Content Correction

Your input is important to us. Please complete this form to provide feedback related to the content on this product.

Product Title

By clicking Submit, you acknowledge that you may be contacted by Fisher Scientific in regards to the feedback you have provided in this form. We will not share your information for any other purposes. All contact information provided shall also be maintained in accordance with our Privacy Policy.

Thank You! Your feedback has been submitted. Fisher Scientific is always working to improve our content for you. We appreciate your feedback.