missing translation for 'onlineSavingsMsg'
Learn More
Learn More
Invitrogen™ EMILIN1 Polyclonal Antibody

Rabbit Polyclonal Antibody
Brand: Invitrogen™ PA513592
This item is not returnable.
View return policy
Description
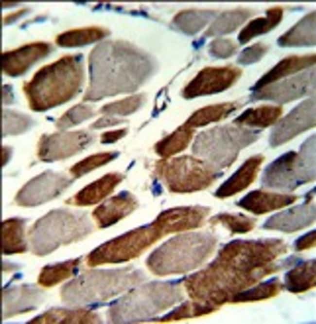
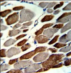
EMILIN1 Polyclonal Antibody for Western Blot, IHC (P), Flow
This gene encodes a protein that is one of the two components of elastic fibers. The encoded protein is rich in hydrophobic amino acids such as glycine and proline, which form mobile hydrophobic regions bounded by crosslinks between lysine residues. Deletions and mutations in this gene are associated with supravalvular aortic stenosis (SVAS) and autosomal dominant cutis laxa. Multiple transcript variants encoding different isoforms have been found for this gene.
Specifications
| EMILIN1 | |
| Polyclonal | |
| Unconjugated | |
| EMILIN1 | |
| 5830419M17Rik; AW229038; BB105748; elastin microfibril interface located protein 1; elastin microfibril interface-located protein 1; Elastin microfibril interfacer 1; EMI; EMILIN; EMILIN1; EMILIN-1; gp115; LOW QUALITY PROTEIN: EMILIN-1 | |
| Rabbit | |
| Ammonium sulfate precipitation, Size-exclusion - Dialysis | |
| RUO | |
| 11117 | |
| Store at 4°C short term. For long term storage, store at -20°C, avoiding freeze/thaw cycles. | |
| Liquid |
| Flow Cytometry, Immunohistochemistry (Paraffin), Western Blot | |
| 2 mg/mL | |
| PBS with 0.09% sodium azide; pH 7.4 | |
| Q9Y6C2 | |
| EMILIN1 | |
| KLH conjugated synthetic peptide between 84-112 amino acids from the N-terminal region of human EMILIN1. | |
| 400 μL | |
| Primary | |
| Human | |
| Antibody | |
| IgG |
Product Content Correction
Your input is important to us. Please complete this form to provide feedback related to the content on this product.
Product Title
Spot an opportunity for improvement?Share a Content Correction