missing translation for 'onlineSavingsMsg'
Learn More

cystatin B (stefin B), Mouse, Clone: M2-F1, Abnova™

Mouse monoclonal antibody raised against a full-length recombinant CSTB.

Brand:  Abnova H00001476-M02.100ug

Product Code. 16113671

  • £303.00 / 100µg

Please to purchase this item. Need a web account? Register with us today!

This item is not returnable. View return policy

Description

Description

The cystatin superfamily encompasses proteins that contain multiple cystatin-like sequences. Some of the members are active cysteine protease inhibitors, while others have lost or perhaps never acquired this inhibitory activity. There are three inhibitory families in the superfamily, including the type 1 cystatins (stefins), type 2 cystatins and kininogens. This gene encodes a stefin that functions as an intracellular thiol protease inhibitor. The protein is able to form a dimer stabilized by noncovalent forces, inhibiting papain and cathepsins l, h and b. The protein is thought to play a role in protecting against the proteases leaking from lysosomes. Evidence indicates that mutations in this gene are responsible for the primary defects in patients with progressive myoclonic epilepsy (EPM1). [provided by RefSeq

Sequence: MMCGAPSATQPATAETQHIADQVRSQLEEKENKKFPVFKAVSFKSQVVAGTNYFIKVHVGDEDFVHLRVFQSLPHENKPLTLSNYQTNKAKHDELTYF
Specifications

Specifications

cystatin B (stefin B)
Monoclonal
Unconjugated
PBS with no preservative; pH 7.4
BC003370.1
CSTB
CSTB (AAH03370.1, 1 a.a. ∼ 98 a.a) full-length recombinant protein with GST tag. MW of the GST tag alone is 26 KDa.
100 μg
Yes
1476
Store at -20°C or lower. Aliquot to avoid repeated freezing and thawing.
IgG1 κ
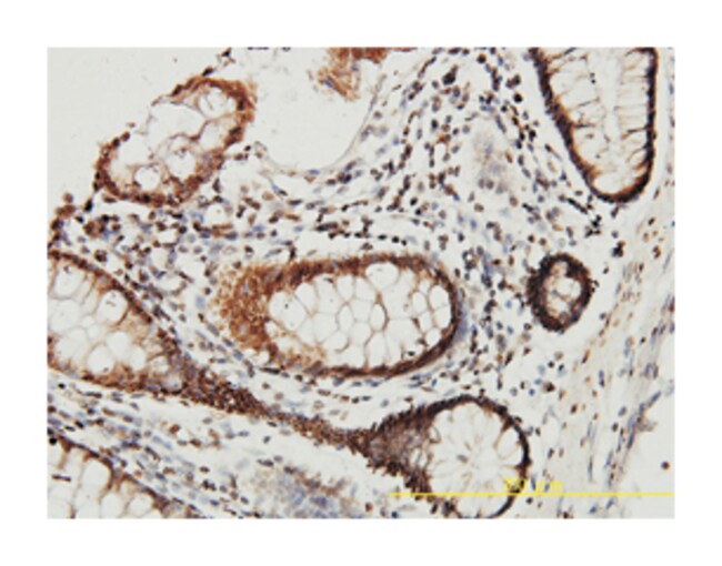
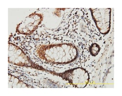
ELISA, Immunofluorescence, Immunohistochemistry (PFA fixed), Western Blot
M2-F1
Mouse monoclonal antibody raised against a full length recombinant CSTB.
CSTB
CST6/EPM1/PME/STFB
Mouse
Affinity Purified
RUO
Primary
Human
Antibody
Product Suggestions

Product Suggestions

Videos
SDS
Documents

Documents

Certificates
Promotions

Promotions

Product Content Correction

Your input is important to us. Please complete this form to provide feedback related to the content on this product.

Product Title

By clicking Submit, you acknowledge that you may be contacted by Fisher Scientific in regards to the feedback you have provided in this form. We will not share your information for any other purposes. All contact information provided shall also be maintained in accordance with our Privacy Policy.

Thank You! Your feedback has been submitted. Fisher Scientific is always working to improve our content for you. We appreciate your feedback.