Learn More
Invitrogen™ Caveolin 1 Polyclonal Antibody

Rabbit Polyclonal Antibody
Brand: Invitrogen™ PA532691
Description
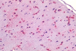
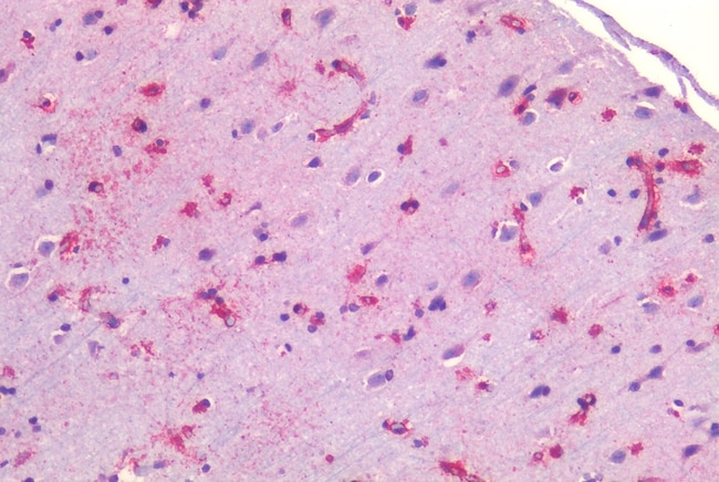
Percent identity with other species by BLAST analysis: Human, Chimpanzee, Gorilla, Orangutan, Gibbon, Baboon, Monkey, Marmoset, Dog, Guinea pig (100%); Galago, Mouse, Rat, Ferret, Sheep, Bovine, Cat, Bat, Hamster, Elephant, Panda, Horse, Rabbit, Pig, Armadillo (94%); Opossum, Platypus (88%); Turkey, Chicken (81%). For IHC(P), use heat induced antigen retrieval in pH 6.0 citrate buffer. After incubation with the primary antibody, slides were incubated with biotinylated secondary antibody, followed by alkaline phosphatase-streptavidin and chromogen.
Caveolin-1 or CAV1 is a scaffolding proteins within caveolar membranes. It interacts directly with G-protein alpha subunits and can functionally regulate their activity. Caveolin-1 is also involved in the co-stimulatory signal essential for T-cell receptor (TCR) mediated T-cell activation. It can bind with DPP4 and induces T-cell proliferation and NF-kappa-B activation in a T-cell receptor/CD3-dependent manner. Mutations affecting the CAV1 gene can result in congenital generalized lipodystrophy 3, pulmonary hypertension primary 3, or partial lipodystrophy/congenital cataracts, and neurodegeneration syndrome.
Specifications
| Caveolin 1 | |
| Polyclonal | |
| Unconjugated | |
| CAV1 | |
| BSCL3; CAV; CAV1; Cav-1; caveolae; caveolin 1; caveolin 1, caveolae protein; caveolin 1, caveolae protein, 22kDa; caveolin 1a; caveolin 1b; caveolin caveolae protein 22 kDa; caveolin, caveolae protein 1; caveolin, caveolae protein, 22 kDa; caveolin-1; caveolin-1a; caveolin-1b; cell growth-inhibiting protein 32; CGL3; HGNC:1527; LCCNS; MSTP085; OTTHUMP00000196475; PPH3; Unknown (protein for IMAGE:7985573); variant a; variant b; vesicular integral-membrane protein VIP21; VIP21; wu:fc07c04 | |
| Rabbit | |
| Antigen Affinity Chromatography | |
| RUO | |
| 100718512, 403980, 857 | |
| Store at 4°C short term. For long term storage, store at -20°C, avoiding freeze/thaw cycles. | |
| Liquid |
| Immunohistochemistry (Paraffin) | |
| 1 mg/mL | |
| PBS with 0.1% sodium azide | |
| P33724, Q03135 | |
| CAV1 | |
| Synthetic 16 amino acid peptide from N-terminus of human CAV1 / Caveolin. | |
| 50 μg | |
| Primary | |
| Human, Canine, Monkey, Guinea Pig | |
| Antibody | |
| IgG |
Your input is important to us. Please complete this form to provide feedback related to the content on this product.