missing translation for 'onlineSavingsMsg'
Learn More
Learn More
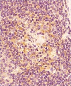
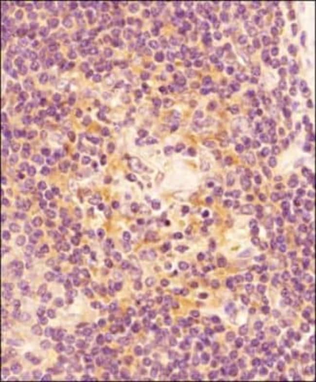
Invitrogen™ Active/Pro-Caspase 3 Monoclonal Antibody (CPP32 4-1-18)

Mouse Monoclonal Antibody
Brand: Invitrogen™ MA116843
This item is not returnable.
View return policy
Description
Suggested positive control: antigen standard for CASP3 (transient overexpression lysate), HEK 293 whole cell lysate.
This gene encodes a protein which is a member of the cysteine-aspartic acid protease (caspase) family. Sequential activation of caspases plays a central role in the execution-phase of cell apoptosis. Caspases exist as inactive proenzymes which undergo proteolytic processing at conserved aspartic residues to produce two subunits, large and small, that dimerize to form the active enzyme. This protein cleaves and activates caspases 6, 7 and 9, and the protein itself is processed by caspases 8, 9 and 10. It is the predominant caspase involved in the cleavage of amyloid-beta 4A precursor protein, which is associated with neuronal death in Alzheimer's disease. Alternative splicing of this gene results in two transcript variants that encode the same protein.
Specifications
| Active/Pro-Caspase 3 | |
| Monoclonal | |
| 1.0 mg/mL | |
| PBS with 0.02% sodium azide | |
| P42574, P55213, P70677 | |
| CASP3 | |
| Full-length recombinant human Caspase 3. | |
| 200 μL | |
| Primary | |
| Human, Mouse, Rat | |
| Antibody | |
| IgG2a κ |
| Immunohistochemistry (Paraffin), Immunoprecipitation, Western Blot, Immunocytochemistry | |
| CPP32 4-1-18 | |
| Unconjugated | |
| CASP3 | |
| A830040C14Rik; AC-3; Apopain; Casp3; CASP-3; caspase 3; Caspase 3 apoptosis related cysteine protease (ICE-like cysteine protease); caspase 3, apoptosis related cysteine protease; Caspase 3, apoptosis related cysteine protease (ICE-like cysteine protease); caspase 3, apoptosis-related cysteine peptidase; caspase 3, apoptosis-related cysteine protease; caspase-3; Caspase-3 subunit p12; Caspase-3 subunit p17; CC3; Cpp32; CPP-32; CPP32B; CPP32beta; cysteine protease CPP32; IRP; Lice; mldy; PARP cleavage protease; procaspase3; protein Yama; SCA-1; SREBP cleavage activity 1; Yama; yama protein | |
| Mouse | |
| Protein G | |
| RUO | |
| 12367, 25402, 836 | |
| Store at 4°C short term. For long term storage, store at -20°C, avoiding freeze/thaw cycles. | |
| Liquid |
Product Content Correction
Your input is important to us. Please complete this form to provide feedback related to the content on this product.
Product Title
Spot an opportunity for improvement?Share a Content Correction