missing translation for 'onlineSavingsMsg'
Learn More
Learn More
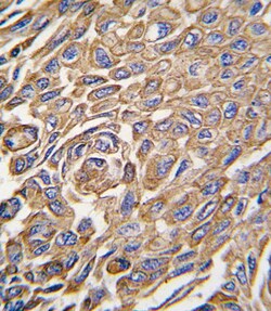
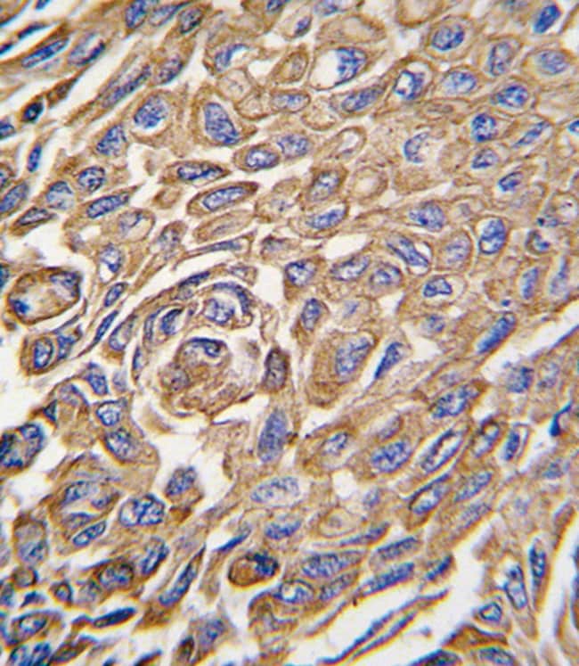
Invitrogen™ ALDH3A1 Polyclonal Antibody

Rabbit Polyclonal Antibody
Brand: Invitrogen™ PA515004
This item is not returnable.
View return policy
Description
This antibody is predicted to react with bovine based on sequence homology.
Aldh3A1 is a member of the aldehyde dehydrogenase superfamily, a group of NAD(P)(+)-dependent enzymes that catalyze the oxidation of a wide spectrum of aliphatic and aromatic aldehydes. Aldh3A1 is highly expressed in stomach and even more strongly in cornea, representing between 5 to 50% of the water soluble protein fraction in mammalian corneas. It is thought that Aldh3A1 acts to protect the cornea from UV-induced oxidative stress by not only detoxification of reactive aldehydes by also through the direct absorption of UV energy. However, corneas from Aldh3A1-null mice are indistinguishable from those from wild-type mice; mice lacking both Aldh3A1 and Aldh1A1 showed increased cataract formation following UVB exposure, suggesting that Aldh1A1 may be able to compensate for the loss of Aldh3A1.
Specifications
| ALDH3A1 | |
| Polyclonal | |
| Unconjugated | |
| ALDH3A1 | |
| Ahd4; Ahd-4; AHDC; Ahd-c; alcohol dehydrogenase family 3, subfamily A1; Aldd; Aldehyde dehydrogenase (Ahd-c); Aldehyde dehydrogenase 3; aldehyde dehydrogenase 3 family member A1; aldehyde dehydrogenase 3 family, member A1; aldehyde dehydrogenase 3 family, memberA1; aldehyde dehydrogenase 3, stomach cytosolic (class 3); aldehyde dehydrogenase 3A1; aldehyde dehydrogenase 4; aldehyde dehydrogenase class 3; aldehyde dehydrogenase family 3 member A1; aldehyde dehydrogenase family 3 subfamily A1; aldehyde dehydrogenase family 3, member A1; aldehyde dehydrogenase family 3, subfamily A1; aldehyde dehydrogenase isozyme 3; aldehyde dehydrogenase type III; aldehyde dehydrogenase, dimeric NADP-preferring; Aldh; Aldh3; Aldh3a1; Aldh4; ALDHIII; BCP54; bovine corneal protein 54; corneal 15.8 kDa protein; corneal epithelium; corneal protein 54, transparentin; dehydrogenase 3, dimeric NAPD-prefering; dioxin-inducible aldehyde dehydrogenase 3; HTC-ALDH; MGC10406; stomach aldehyde dehydrogenase; transparentin; Tumor-associated aldehyde dehydrogenase; tumor-associated aldehyde dehydrogenase tumor ALDH | |
| Rabbit | |
| Ammonium Sulfate Precipitation, Size-exclusion - Dialysis | |
| RUO | |
| 218 | |
| Store at 4°C short term. For long term storage, store at -20°C, avoiding freeze/thaw cycles. | |
| Liquid |
| Immunohistochemistry (Paraffin), Western Blot | |
| 2.0 mg/mL | |
| PBS with 0.09% sodium azide; pH 7.4 | |
| P30838 | |
| ALDH3A1 | |
| KLH conjugated synthetic peptide between 254-284 amino acids from the central region of human ALDH3A1. | |
| 400 μL | |
| Primary | |
| Human | |
| Antibody | |
| IgG |
Product Content Correction
Your input is important to us. Please complete this form to provide feedback related to the content on this product.
Product Title
Spot an opportunity for improvement?Share a Content Correction