missing translation for 'onlineSavingsMsg'
Learn More

Invitrogen™ Annexin A3 Monoclonal Antibody (K16266_20H11), Invitrogen™

Mouse Monoclonal Antibody

Brand:  Invitrogen™ MA555941

 View more versions of this product

Product Code. 30203658

  • £453.00 / 50µg

Please to purchase this item. Need a web account? Register with us today!

This item is not returnable. View return policy

Description

Description

Sequence of this protein is as follows: MASIWVGHRG TVRDYPDFSP SVDAEAIQKA IRGIGTDEKM LISILTERSN AQRQLIVKEY QAAYGKELKD DLKGDLSGHF EHLMVALVTP PAVFDAKQLK KSMKGAGTNE DALIEILTTR TSRQMKDISQ AYYTVYKKSL GDDISSETSG DFRKALLTLA DGRRDESLKV DEHLAKQDAQ ILYKAGENRW GTDEDKFTEI LCLRSFPQLK LTFDEYRNIS QKDIVDSIKG ELSGHFEDLL LAIVNCVRNT PAFLAERLHR ALKGIGTDEF TLNRIMVSRS EIDLLDIRTE FKKHYGYSLY SAIKSDTSGD YEITLLKICG GDD

This gene encodes a member of the annexin family. Members of this calcium-dependent phospholipid-binding protein family play a role in the regulation of cellular growth and in signal transduction pathways. This protein functions in the inhibition of phopholipase A2 and cleavage of inositol 1,2-cyclic phosphate to form inositol 1-phosphate. This protein may also play a role in anti-coagulation.
TRUSTED_SUSTAINABILITY
Specifications

Specifications

Annexin A3
Monoclonal
1 mg/mL
PBS with 50% glycerol, 0.5% BSA and 0.09% sodium azide
P12429
ANXA3
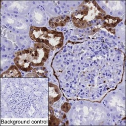
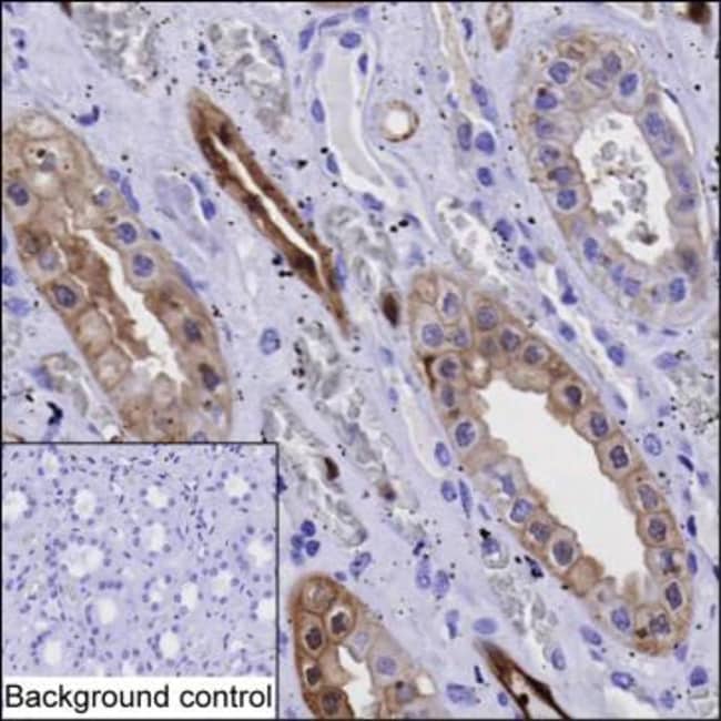
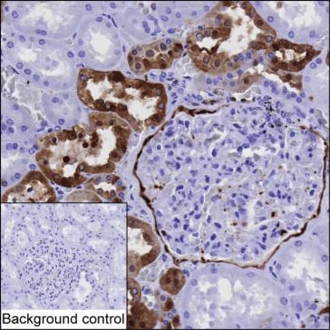
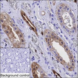
Recombinant human ANXA3 (immunogen range is 1-323).
50 μL
Primary
Human
Antibody
IgG2a
Immunohistochemistry (Paraffin), Immunoprecipitation, Western Blot
K16266_20H11
Unconjugated
ANXA3
35-alpha calcimedin; Annexin 3; annexin A3; Annexin III; Annexin III (Lipocortin III); annexin III (lipocortin III, 1,2-cyclic-inositol-phosphate phosphodiesterase, placental anticoagulant protein III, calcimedin 35-alpha); Annexin3; annexin-3; ANX3; ANXA 3; ANXA3; calcimedin 35-alpha; inositol 1,2-cyclic phosphate 2-phosphohydrolase; LC3; Lipocortin III; LRRGT00047; PAP-III; Placental anticoagulant protein III
Mouse
Protein A
RUO
306
Store at 4°C short term. For long term storage, store at -20°C, avoiding freeze/thaw cycles.
Liquid
Product Suggestions

Product Suggestions

Videos
SDS
Documents

Documents

Certificates
Promotions

Promotions

Product Content Correction

Your input is important to us. Please complete this form to provide feedback related to the content on this product.

Product Title

By clicking Submit, you acknowledge that you may be contacted by Fisher Scientific in regards to the feedback you have provided in this form. We will not share your information for any other purposes. All contact information provided shall also be maintained in accordance with our Privacy Policy.

Thank You! Your feedback has been submitted. Fisher Scientific is always working to improve our content for you. We appreciate your feedback.