missing translation for 'onlineSavingsMsg'
Learn More

Annexin A2 Antibody - BSA Free, Novus Biologicals™

Rabbit Polyclonal Antibody

£177.00 - £366.00

Specifications

Antigen Annexin A2
Dilution Western Blot 1:500 - 1:2000, Immunohistochemistry 1:50 - 1:200, Immunohistochemistry-Paraffin
Applications Western Blot, Immunohistochemistry, Immunohistochemistry (Paraffin)
Classification Polyclonal
Conjugate Unconjugated
View More Specs

Products 2
Product Code Brand Quantity Price Quantity & Availability  
Product Code Brand Quantity Price Quantity & Availability  
18667521
View Documents
Novus Biologicals
NBP2-92959-0.02ml
0.02 mL
£177.00
0.02mL
View alternative products
Save Up to 
»
Please to purchase this item. Need a web account? Register with us today!
18607781
View Documents
Novus Biologicals
NBP2-92959-0.1ml
0.1 mL
£366.00
0.10mL
View alternative products
Save Up to 
»
Please to purchase this item. Need a web account? Register with us today!
Description

Description

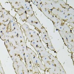
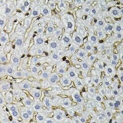
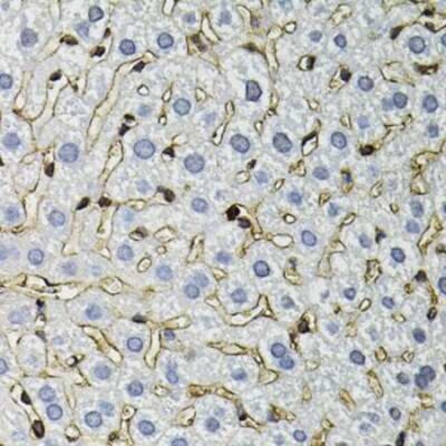
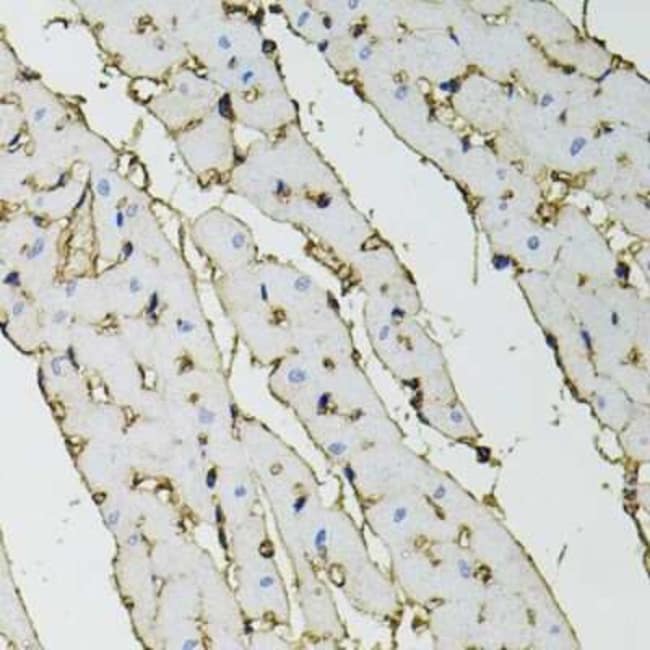
Annexin A2 Polyclonal antibody specifically detects Annexin A2 in Human, Mouse, Rat samples. It is validated for Western Blot, Immunohistochemistry, Immunohistochemistry (Paraffin)
Specifications

Specifications

Annexin A2
Western Blot, Immunohistochemistry, Immunohistochemistry (Paraffin)
Unconjugated
Rabbit
Cancer
PBS with 50% glycerol, pH7.3.
302
IgG
Affinity purified
Western Blot 1:500 - 1:2000, Immunohistochemistry 1:50 - 1:200, Immunohistochemistry-Paraffin
Polyclonal
Purified
RUO
Human, Mouse, Rat
annexin A2, Annexin II, annexin-2, ANX2, ANX2L4LPC2, CAL1H, Calpactin I heavy chain, calpactin I heavy polypeptide, Calpactin-1 heavy chain, chromobindin 8, Chromobindin-8, LIP2PAP-IV, Lipocortin II, LPC2DP36, p36, Placental anticoagulant protein IV, Protein I
Recombinant fusion protein containing a sequence corresponding to amino acids 1-339 of human Annexin A2 (NP_004030.1). MSTVHEILCKLSLEGDHSTPPSAYGSVKAYTNFDAERDALNIETAIKTKGVDEVTIVNILTNRSNAQRQDIAFAYQRRTKKELASALKSALSGHLETVILGLLKTPAQYDASELKASMKGLGTDEDSLIEIICSRTNQELQEINRVYKEMYKTDLEKDIISDTSGDFRKLMVALAKGRRAEDGSVIDYELIDQDARDLYDAGVKRKGTDVPKWISIMTERSVPHLQKVFDRYKSYSPYDMLESIRKEVKGDLENAFLNLVQCIQNKPLYFADRLYDSMKGKGTRDKVLIRIMVSRSEVDMLKIRSEFKRKYGKSLYYYIQQDTKGDYQKALLYLCGGDD
Primary
Store at -20°C. Avoid freeze-thaw cycles.
Videos
SDS
Documents

Documents

Product Certifications
Product Content Correction

Your input is important to us. Please complete this form to provide feedback related to the content on this product.

Product Title

By clicking Submit, you acknowledge that you may be contacted by Fisher Scientific in regards to the feedback you have provided in this form. We will not share your information for any other purposes. All contact information provided shall also be maintained in accordance with our Privacy Policy.

Thank You! Your feedback has been submitted. Fisher Scientific is always working to improve our content for you. We appreciate your feedback.