missing translation for 'onlineSavingsMsg'
Learn More
Learn More
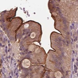
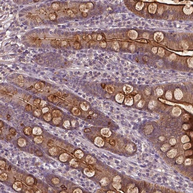
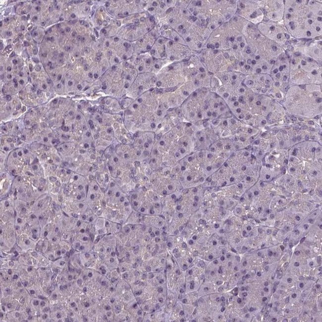
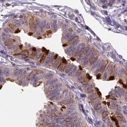
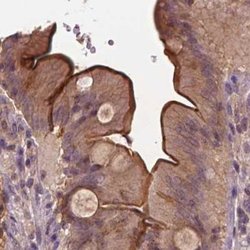
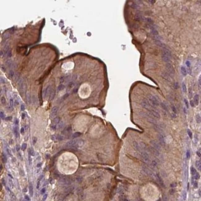
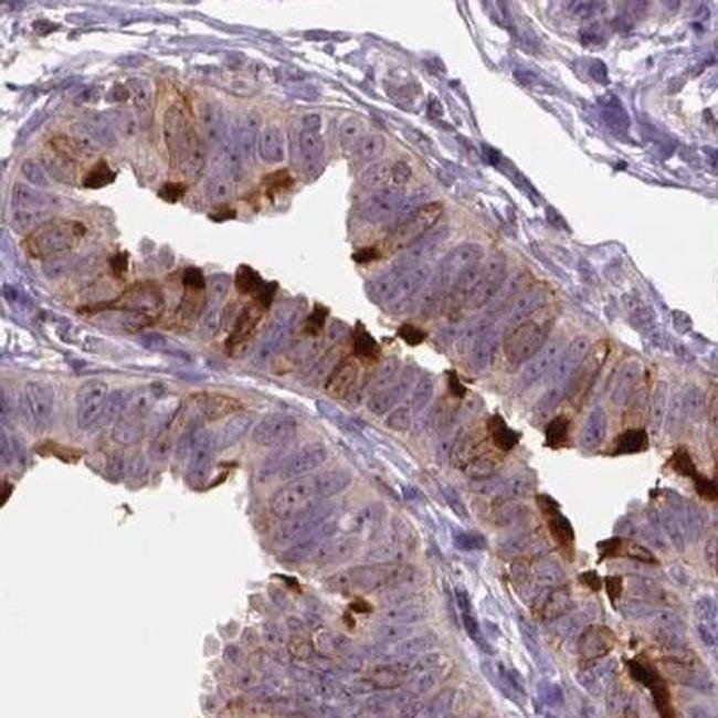
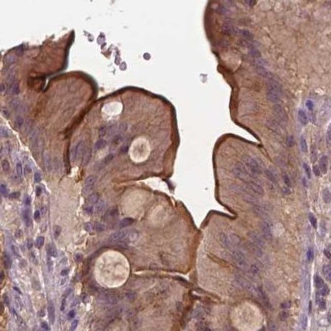
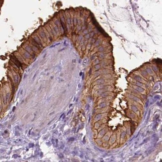
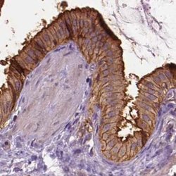
Invitrogen™ Annexin A13 Polyclonal Antibody

Rabbit Polyclonal Antibody
Brand: Invitrogen™ PA553835
This item is not returnable.
View return policy
Description
Immunogen sequence: RHSQSYTLSE GSQQLPKGDS QPSTVVQPLS HPSRNGEPEA PQPAKASSPQ GFDVDRDAKK LNKACKGMGT N Highest antigen sequence identity to the following orthologs: Mouse - 32%, Rat - 32%.
This gene encodes a member of the annexin family. Members of this calcium-dependent phospholipid-binding protein family play a role in the regulation of cellular growth and in signal transduction pathways. The specific function of this gene has not yet been determined; however, it is associated with the plasma membrane of undifferentiated, proliferating endothelial cells and differentiated villus enterocytes. Alternatively spliced transcript variants encoding different isoforms have been identified.
Specifications
| Annexin A13 | |
| Polyclonal | |
| Unconjugated | |
| ANXA13 | |
| 1810034H17Rik; Annexin A13; annexin XIII; annexin, intestine-specific; annexin-13; ANX13; Anxa13; AV055219; Intestine-specific annexin; ISA | |
| Rabbit | |
| Antigen affinity chromatography | |
| RUO | |
| 312 | |
| Store at 4°C short term. For long term storage, store at -20°C, avoiding freeze/thaw cycles. | |
| Liquid |
| Immunohistochemistry (Paraffin), Western Blot | |
| 0.2 mg/mL | |
| PBS with 40% glycerol and 0.02% sodium azide; pH 7.2 | |
| P27216 | |
| ANXA13 | |
| Recombinant protein corresponding to Human Annexin A13. Recombinant protein control fragment (Product #RP-92286). | |
| 100 μL | |
| Primary | |
| Human | |
| Antibody | |
| IgG |
Product Content Correction
Your input is important to us. Please complete this form to provide feedback related to the content on this product.
Product Title
Spot an opportunity for improvement?Share a Content Correction