missing translation for 'onlineSavingsMsg'
Learn More

Annexin A1 Rabbit anti-Human, Clone: ANXA1/6452R, Novus Biologicals™

Product Code. 18331996 Shop All Bio Techne Products
Change view
Click to view available options
Quantity:
100 μg
20 μg
Unit Size:
100µg
20µg
2 product options available for selection
Product selection table with 2 available options. Use arrow keys to navigate and Enter or Space to select.
Product Code. Quantity unitSize
18331996 100 μg 100µg
18394216 20 μg 20µg
Use arrow keys to navigate between rows. Press Enter or Space to select a product option. 2 options available.
2 options
This item is not returnable. View return policy
Product Code. 18331996 Supplier Novus Biologicals Supplier No. NBP313935100UG

Please to purchase this item. Need a web account? Register with us today!

This item is not returnable. View return policy

Rabbit Monoclonal Antibody

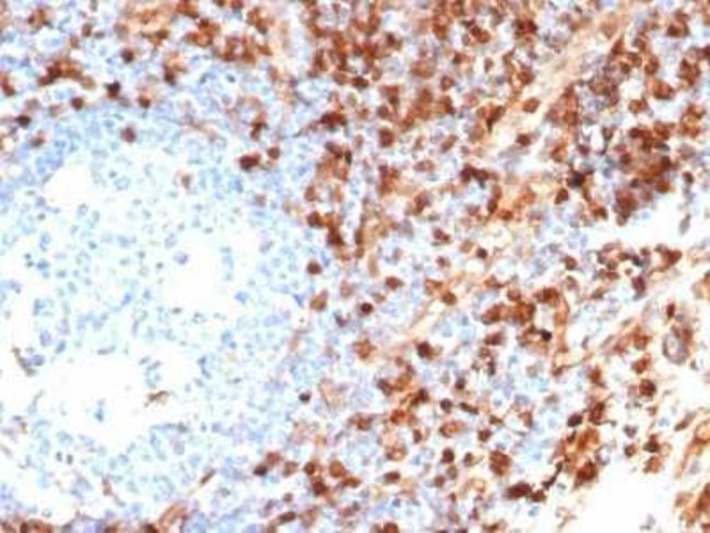
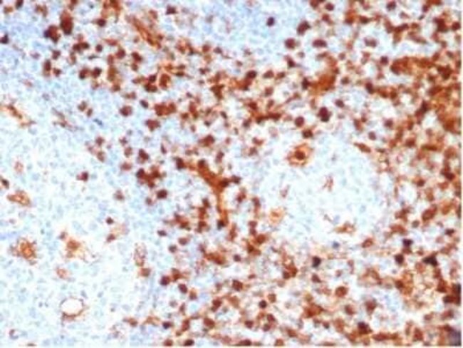
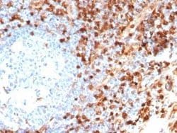
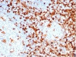
Annexin A1 Monoclonal antibody specifically detects Annexin A1 in Human samples. It is validated for Western Blot, Immunohistochemistry (Paraffin)
TRUSTED_SUSTAINABILITY

Specifications

Antigen Annexin A1
Applications Western Blot, Immunohistochemistry (Paraffin)
Classification Monoclonal
Clone ANXA1/6452R
Concentration 0.2 mg/ml
Conjugate Unconjugated
Dilution Western Blot, Immunohistochemistry-Paraffin 1-2 ug/ml
Formulation 10 mM PBS with 0.05% BSA
Gene Accession No. P04083
Gene Alias annexin A1, Annexin I, annexin I (lipocortin I), Annexin-1, ANX1, Calpactin II, calpactin-2, Chromobindin-9, Lipocortin I, LPC1annexin-1, p35, Phospholipase A2 inhibitory protein
Host Species Rabbit
Immunogen Recombinant full-length human Annexin A1 protein (Uniprot: P04083)
Purification Method Protein A or G purified
Quantity 100 μg
Regulatory Status RUO
Research Discipline Protein Kinase, Signal Transduction
Primary or Secondary Primary
Gene ID (Entrez) 301
Target Species Human
Content And Storage Store at 4°C.
Form Purified
Isotype IgG
Show More Show Less
Product Title
Select an issue

By clicking Submit, you acknowledge that you may be contacted by Fisher Scientific in regards to the feedback you have provided in this form. We will not share your information for any other purposes. All contact information provided shall also be maintained in accordance with our Privacy Policy.