missing translation for 'onlineSavingsMsg'
Learn More

Angiopoietin-like Protein 3/ANGPTL3 Antibody (3B7), Novus Biologicals™

Product Code. 18337489 Shop All Bio Techne Products
Change view
Click to view available options
Quantity:
0.1 mg
Unit Size:
0.1mg
1 product options available for selection
Product selection table with 1 available options. Use arrow keys to navigate and Enter or Space to select.
Product Code. Quantity unitSize
18337489 0.1 mg 0.1mg
Use arrow keys to navigate between rows. Press Enter or Space to select a product option. 1 options available.
1 options
This item is not returnable. View return policy
Product Code. 18337489 Supplier Novus Biologicals Supplier No. H00027329M01

Please to purchase this item. Need a web account? Register with us today!

This item is not returnable. View return policy

Mouse Monoclonal Antibody

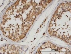
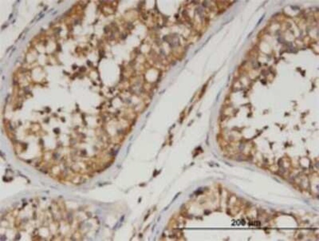
Angiopoietin-like Protein 3/ANGPTL3 Monoclonal antibody specifically detects Angiopoietin-like Protein 3/ANGPTL3 in Human samples. It is validated for Western Blot, ELISA, Immunohistochemistry, Immunohistochemistry (Paraffin)
TRUSTED_SUSTAINABILITY

Specifications

Antigen Angiopoietin-like Protein 3/ANGPTL3
Applications Western Blot, ELISA, Immunohistochemistry, Immunohistochemistry (Paraffin)
Classification Monoclonal
Clone 3B7
Conjugate Unconjugated
Dilution Western Blot 1:500, ELISA 1:100-1:2000, Immunohistochemistry 1:10-1:500, Immunohistochemistry-Paraffin 1:10-1:500
Formulation In 1x PBS, pH 7.4
Gene Accession No. AAH58287
Gene Alias ANG-5, angiopoietin 5, Angiopoietin-5, angiopoietin-like 3, Angiopoietin-like protein 3, angiopoietin-related protein 3, ANGPT5angiopoietin-5, FHBL2
Host Species Mouse
Immunogen ANGPTL3 (AAH58287, 17 a.a. ~ 460 a.a) full-length recombinant protein with GST tag. MW of the GST tag alone is 26 KDa. SRIDQDNSSFDSLSPEPKSRFAMLDDVKILANGLLQLGHGLKDFVHKTKGQINDIFQKLNIFDQSFYDLSLQTSEIKEEEKELRRTTYKLQVKNEEVKNMSLELNSKLESLLEEKILLQQKVKYLEEQLTNLIQNQPETPEHPEVTSLKTFVEKQDNSIKDLLQTVEDQYKQLNQQHSQIKEIENQLRRTSIQEPTEISLSSKPRAPRTTPFLQLNEIRNVKHDGIPAECTTIYNRGEHTSGMYAIRPSNSQVFHVYCDVISGSPWTLIQHRIDGSQNFNETWENYKYGFGRLDGEFWLGLEKIYSIVKQSNYVLRIELEDWKDNKHYIEYSFYLGNHETNYTLHLVAITGNVPNAIPENKDLVFSTWDHKAKGHFNCPEGYSGGWWWHDECGENNLNGKYNKPRAKSKPERRRGLSWKSQNGRLYSIKSTKMLIHPTDSESFE
Purification Method IgG purified
Quantity 0.1 mg
Regulatory Status RUO
Research Discipline Signal Transduction
Primary or Secondary Primary
Gene ID (Entrez) 27329
Target Species Human
Content And Storage Aliquot and store at -20°C or -80°C. Avoid freeze-thaw cycles.
Form Purified
Isotype IgG2a κ
Show More Show Less
Product Title
Select an issue

By clicking Submit, you acknowledge that you may be contacted by Fisher Scientific in regards to the feedback you have provided in this form. We will not share your information for any other purposes. All contact information provided shall also be maintained in accordance with our Privacy Policy.