missing translation for 'onlineSavingsMsg'
Learn More
Learn More
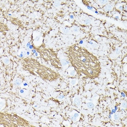
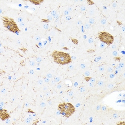
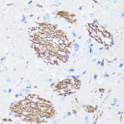
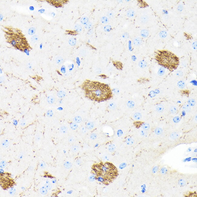
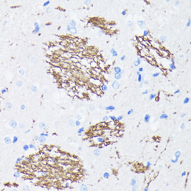
Invitrogen™ Amyloid Precursor Protein Recombinant Rabbit Monoclonal Antibody (3A8S2)

Rabbit Recombinant Monoclonal Antibody
Brand: Invitrogen™ MA535187
This item is not returnable.
View return policy
Description
Immunogen sequence: MDAEFRHDSG YEVHHQKLVF FAEDVGSNKG AIIGLMVGGV VIATVIVITL VMLKKKQYTS IHHGVVEVDA AVTPEERHLS KMQQNGYENP TYKFFEQMQN.
Amyloid beta peptide (Abeta/Beta-amyloid) is the major constituent of amyloid plaques in the brains of individuals afflicted with Alzheimer's disease. Abeta peptide is 40-43 amino acids long and generated from the beta-amyloid precursor protein (beta APP) in a two-step process. The first step involves cleavage of the extracellular, amino-terminal domain of beta APP. Protein cleavage is performed by an aspartyl protease, beta-secretase (BACE) which is synthesized as a propeptide and must be modified to the mature and active form by the prohormone convertase, furin. Beta APP cleavage by the mature form of BACE results in the cellular secretion of a segment of beta APP, and a membrane-bound remnant. The remnant protein is processed by another protease, gamma-secretase. Gamma-secretase cleaves an intra-membrane site in the carboxyl-terminal domain of beta APP, thus generating the amyloid beta peptide. Gamma-secretase is believed to be a multi-subunit complex containing presenilin-1 and 2 as central components. The transmembrane glycoprotein, nicastrin, is associated with presinilins and has been found to bind to the carboxyl-terminus of beta APP and helps to modulate the production of the amyloid beta peptide. Abeta is an extracellular filamentous protein component of amyloid cores, neuritic plaques and is also found as a deposit in neurofibrillary tangles. Alzheimer's disease, the most common cause of senile dementia, is characterized by abnormal filamentous protein deposits in the brain. Beta amyloid deposits are also detected in Lewy body dementia, Down's syndrome, amyloidosis (Dutch type), cerebroarterial amyloidosis (cerebral amyloid angiopathy) and in the Guam Parkinson-Dementia complex.
Specifications
| Amyloid Precursor Protein | |
| Recombinant Monoclonal | |
| 0.57 mg/mL | |
| PBS with 0.05% BSA, 50% glycerol and 0.05% ProClin 300; pH 7.3 | |
| P05067, P08592, P12023 | |
| APP | |
| Synthetic Peptide. | |
| 100 μL | |
| Primary | |
| Human, Mouse, Rat | |
| Antibody | |
| IgG |
| ELISA, Immunohistochemistry (Paraffin), Immunoprecipitation, Western Blot, Immunocytochemistry | |
| 3A8S2 | |
| Unconjugated | |
| APP | |
| A4; AAA; ABETA; Abeta40; Abeta42; ABPP; AD1; Adap; AG; AICD-50; AICD-57; AICD-59; AID(50); AID(57); AID(59); Alpha-CTF; Alpha-secretase C-terminal fragment; Alzheimer disease; Alzheimer disease amyloid A4 protein homolog; alzheimer disease amyloid protein; Amyloid; amyloid A4; Amyloid b; Amyloid beta; amyloid beta (A4) precursor protein; amyloid beta (A4) precursor protein (peptidase nexin-II, Alzheimer disease); amyloid beta A4 protein; amyloid beta precursor protein; Amyloid intracellular domain 50; Amyloid intracellular domain 57; Amyloid intracellular domain 59; Amyloid precursor protein; amyloid precursor protein variant 1; amyloid precursor protein variant 2; Amyloid β; amyloid-beta A4 protein; amyloid-beta A4 protein; amyloid beta A4 protein; Amyloid-beta precursor protein; Amyloid-beta protein 40; Amyloid-beta protein 42; Amyloidogenic glycoprotein; APP; APP-C57; APP-C59; APP-C99; APPI; appican; beta amyloid protein; beta amyloid protein precursor; beta-amyloid peptide; beta-amyloid peptide(1-40); beta-amyloid peptide(1-42); Beta-amyloid precursor protein; betaApp; Beta-APP40; Beta-APP42; Beta-CTF; Beta-secretase C-terminal fragment; C31; C80; C83; C99; Cerebral vascular amyloid peptide; CTF gamma; CTF-alpha; CTFgamma; CVAP; E030013M08Rik; Gamma-CTF(50); Gamma-CTF(57); Gamma-CTF(59); Gamma-secretase C-terminal fragment 50; Gamma-secretase C-terminal fragment 57; Gamma-secretase C-terminal fragment 59; N-APP; OTTHUMP00000096096; P3(40); P3(42); Pan-Abeta; peptidase nexin-II; PN2; PN-II; PreA4; PreA4 751; protease nexin II; protease nexin-II; S-APP-alpha; S-APP-beta; Soluble APP-alpha; Soluble APP-beta; testicular tissue protein Li 2 | |
| Rabbit | |
| Affinity Chromatography | |
| RUO | |
| 11820, 351, 54226 | |
| -20°C, Avoid Freeze/Thaw Cycles | |
| Liquid |
Product Content Correction
Your input is important to us. Please complete this form to provide feedback related to the content on this product.
Product Title
Spot an opportunity for improvement?Share a Content Correction