missing translation for 'onlineSavingsMsg'
Learn More
Learn More
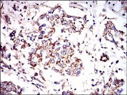
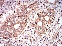
Invitrogen™ AMPK gamma-1 Monoclonal Antibody (4A1G9)

Mouse Monoclonal Antibody
Brand: Invitrogen™ MA531867
This item is not returnable.
View return policy
Description
MA5-31867 has been tested in indirect ELISA.
The protein encoded by this gene is a regulatory subunit of the AMP-activated protein kinase (AMPK). AMPK is a heterotrimer consisting of an alpha catalytic subunit, and non-catalytic beta and gamma subunits. AMPK is an important energy-sensing enzyme that monitors cellular energy status. In response to cellular metabolic stresses, AMPK is activated, and thus phosphorylates and inactivates acetyl-CoA carboxylase (ACC) and beta-hydroxy beta-methylglutaryl-CoA reductase (HMGCR), key enzymes involved in regulating de novo biosynthesis of fatty acid and cholesterol. This subunit is one of the gamma regulatory subunits of AMPK. Alternatively spliced transcript variants encoding distinct isoforms have been observed.
Specifications
| AMPK gamma-1 | |
| Monoclonal | |
| 1 mg/mL | |
| PBS with 0.05% sodium azide | |
| P54619 | |
| PRKAG1 | |
| Purified recombinant fragment of human PRKAG1 (AA: 230-331) expressed in E. coli. | |
| 100 μL | |
| Primary | |
| Human | |
| Antibody | |
| IgG1 |
| ELISA, Immunohistochemistry (Paraffin), Western Blot | |
| 4A1G9 | |
| Unconjugated | |
| PRKAG1 | |
| 5'-AMP-activated protein kinase subunit gamma-1; 5'-AMP-activated protein kinase, gamma-1 subunit; AA571379; AMP-activated protein kinase, noncatalytic gamma-1 subunit; ampk gamma; AMPK gamma1; AMPK gamma-1 chain; AMPK subunit gamma-1; AMPKG; BB036179; Prkaac; PRKAG1; Prkga1; Protein kinase AMP-activated gamma; protein kinase AMP-activated non-catalytic subunit gamma 1; protein kinase, AMP-activated, gamma 1 non-catalytic subunit | |
| Mouse | |
| Protein G | |
| RUO | |
| 5571 | |
| Store at 4°C short term. For long term storage, store at -20°C, avoiding freeze/thaw cycles. | |
| Liquid |
Product Content Correction
Your input is important to us. Please complete this form to provide feedback related to the content on this product.
Product Title
Spot an opportunity for improvement?Share a Content Correction