missing translation for 'onlineSavingsMsg'
Learn More
Learn More
Invitrogen™ Amphiphysin Polyclonal Antibody

Rabbit Polyclonal Antibody
Brand: Invitrogen™ PA5101420
This item is not returnable.
View return policy
Description
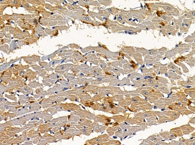
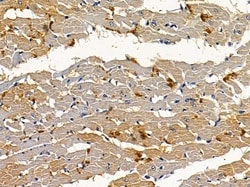
Antibody detects endogenous levels of total AMPH.
Amphiphysins, members of the BAR (Bin-Amphiphysin-Rvsp) protein super family, play a key role in clathrin-mediated endocytosis of synaptic vesicles (SVs). All members of the BAR family share a highly conserved N-terminal BAR domain and a C-terminal Src homology (SH3) domain. Two isoforms of amphiphysin have been identified and act in concert as a heterodimer. Amphiphysins interact via its carboxy-terminal SH3 domain with dynamin, synaptojanin and clathrin. These complexes are implicated in synaptic vesicle recycling at nerve terminal. Amphiphysins were also identified as the dominant autoantigen in paraneoplastic Stiff-Man Syndrome.
Specifications
| Amphiphysin | |
| Polyclonal | |
| Unconjugated | |
| Amph | |
| Amph; AMPH1; amphiphysin; amphiphysin (Stiff-Mann syndrome with breast cancer 128kD autoantigen); amphiphysin 1; amphiphysin I; HGNC:471 | |
| Rabbit | |
| Affinity Chromatography | |
| RUO | |
| 218038, 273, 60668 | |
| -20°C | |
| Liquid |
| Immunohistochemistry (Paraffin), Western Blot, Immunocytochemistry | |
| 1 mg/mL | |
| PBS with 50% glycerol and 0.02% sodium azide; pH 7.4 | |
| O08838, P49418, Q7TQF7 | |
| Amph | |
| A synthesized peptide derived from human AMPH(Accession P49418), corresponding to amino acid residues S139-E189. | |
| 100 μL | |
| Primary | |
| Human, Mouse, Rat | |
| Antibody | |
| IgG |
Product Content Correction
Your input is important to us. Please complete this form to provide feedback related to the content on this product.
Product Title
Spot an opportunity for improvement?Share a Content Correction