missing translation for 'onlineSavingsMsg'
Learn More

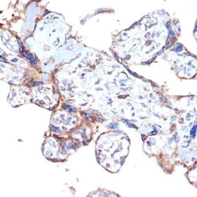
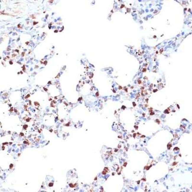
Aminopeptidase PILS/ARTS1 Rabbit anti-Human, Mouse, Rat, Clone: 6V8C0, Novus Biologicals™

Product Code. 18367044 Shop All Bio Techne Products
Change view
Click to view available options
Quantity:
100 μg
20 μg
Unit Size:
100µL
20µL
2 product options available for selection
Product selection table with 2 available options. Use arrow keys to navigate and Enter or Space to select.
Product Code. Quantity unitSize
18367044 100 μg 100µL
18384805 20 μg 20µL
Use arrow keys to navigate between rows. Press Enter or Space to select a product option. 2 options available.
2 options
This item is not returnable. View return policy
Product Code. 18367044 Supplier Novus Biologicals Supplier No. NBP316626100UL

Please to purchase this item. Need a web account? Register with us today!

This item is not returnable. View return policy

Rabbit Monoclonal Antibody

Aminopeptidase PILS/ARTS1 Monoclonal antibody specifically detects Aminopeptidase PILS/ARTS1 in Human, Mouse, Rat samples. It is validated for Western Blot, Immunohistochemistry, Immunohistochemistry (Paraffin)
TRUSTED_SUSTAINABILITY

Specifications

Antigen Aminopeptidase PILS/ARTS1
Applications Western Blot, Immunohistochemistry, Immunohistochemistry (Paraffin)
Classification Monoclonal
Clone 6V8C0
Conjugate Unconjugated
Dilution Western Blot, Immunohistochemistry 1:50 - 1:200, Immunohistochemistry-Paraffin
Formulation PBS, 0.05% BSA, 50% glycerol, pH7.3
Gene Alias Adipocyte-derived leucine aminopeptidase, A-LAPALAP, Aminopeptidase PILS, ARTS1aminopeptidase regulator of TNFR1 shedding, ARTS-1PILSAP, EC 3.4.11, EC 3.4.11.-, EC 3.4.11.1, endoplasmic reticulum aminopeptidase 1, endoplasmic reticulum aminopeptidase associated with antigen processing, ERAAP1, KIAA0525APPILS, PILS-APERAAP, Puromycin-insensitive leucyl-specific aminopeptidase, Type 1 tumor necrosis factor receptor shedding aminopeptidase regulator
Host Species Rabbit
Immunogen A synthetic peptide corresponding to a sequence within amino acids 842-941 of human Aminopeptidase PILS/ARTS1 (Q9NZ08).
Purification Method Affinity purified
Quantity 100 μg
Regulatory Status RUO
Research Discipline Angiogenesis, Cardiovascular Biology, Cell Biology, Cytokines and Growth Factors, Immunology
Primary or Secondary Primary
Gene ID (Entrez) 51752
Target Species Human, Mouse, Rat
Content And Storage Store at -20°C. Avoid freeze-thaw cycles.
Form Purified
Isotype IgG
Show More Show Less
Product Title
Select an issue

By clicking Submit, you acknowledge that you may be contacted by Fisher Scientific in regards to the feedback you have provided in this form. We will not share your information for any other purposes. All contact information provided shall also be maintained in accordance with our Privacy Policy.