missing translation for 'onlineSavingsMsg'
Learn More
Learn More
Invitrogen™ alpha-ENaC Monoclonal Antibody (2G4), PerCP

Mouse Monoclonal Antibody
Marca: Invitrogen™ MA545351
Questo articolo non è restituibile.
Consulta la politica di reso
Descrizione
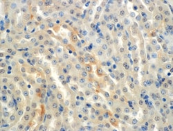
A 1:1,000 dilution of MA5-45351 was sufficient for detection of ENaC alpha in 15 μg of Mouse whole kidney lysate by ECL immunoblot analysis using goat anti-mouse IgG:HRP as the secondary antibody. Detects approximately 85kDa.
Epithelial sodium channels are amiloride-sensitive members of the degenerin/epithelial sodium channel (Deg/ENaC) superfamily of ion channels. Members of this superfamily of ion channels share organizational similarity in that they all possess two short intracellular amino and carboxyl termini, two short membrane spanning segments, and a large extracellular loop with a conserved cysteine-rich region. There are three homologous isoforms of the ENaC (alpha, beta, and gamma) protein. ENaC in the kidney, lung, and colon plays an essential role in trans-epithelial sodium and fluid balance. ENaC also mediates aldosterone-dependent sodium reabsorption in the distal nephron of the kidney, thus regulating blood pressure. ENaC is thought to be regulated, in part, through association with the cystic fibrosis transmembrane conductance regulator (CFTR) chloride ion channel. Gain-of-function mutations in beta- or gamma-ENaC can cause severe arterial hypertension (Liddel's syndrome) and loss-of-function mutations in alpha- or beta-ENaC causes pseudohypoaldosteronism (PHA-1).
Specifica
| alpha-ENaC | |
| Monoclonal | |
| 1 mg/mL | |
| 2.48mM MES, 95.64mM phosphate with 0.5M EDTA and no preservative; pH 7.4 | |
| P37089, Q61180 | |
| SCNN1A | |
| Synthetic peptide from the N-terminal of Rat ENaC alpha (aa. 46-68). | |
| 100 μg | |
| Primary | |
| Mouse, Rat | |
| Antibody | |
| IgG2b |
| Immunohistochemistry, Immunohistochemistry (Paraffin), Western Blot | |
| 2G4 | |
| PerCP | |
| SCNN1A | |
| alpha ENaC-2; alpha-ENaC; Alpha-NaCH; amiloride-sensitive epithelial sodium channel; amiloride-sensitive epithelial sodium channel alpha subunit; amiloride-sensitive sodium channel subunit alpha; amiloride-sensitive sodium channel subunit alpha 2; BESC2; ENaC; ENaC alpha; ENaCa; ENaCalpha; Epithelial Na(+) channel subunit alpha; epithelial sodium channel alpha subunit; FLJ21883; mENaC; nasal epithelial sodium channel alpha subunit; nonvoltage-gated sodium channel 1 subunit alpha; Renac; SCNEA; SCNN1; Scnn1a; sodium channel epithelial 1 alpha subunit; sodium channel, non voltage gated 1 alpha subunit; sodium channel, nonvoltage-gated 1 alpha; sodium channel, non-voltage-gated 1 alpha subunit; sodium channel, nonvoltage-gated, type I, alpha; sodium channel, nonvoltage-gated, type I, alpha polypeptide | |
| Mouse | |
| Protein G | |
| RUO | |
| 20276, 25122 | |
| 4°C | |
| Liquid |
Correzione del contenuto del prodotto
Fornite il vostro feedback sul contenuto del prodotto compilando il modulo sottostante.
Titolo del prodotto
Individuate un'opportunità di miglioramento?Condividi una correzione di contenuto