missing translation for 'onlineSavingsMsg'
Learn More

Invitrogen™ alpha-1 Antitrypsin Monoclonal Antibody (H8), Invitrogen™

Mouse Monoclonal Antibody

Brand:  Invitrogen™ MA551078

 View more versions of this product

Product Code. 17969912

  • £161.00 / 20µL

Please to purchase this item. Need a web account? Register with us today!

This item is not returnable. View return policy

Description

Description

Alpha-1-AT is synthesized in the liver and it acts as an inhibitor of proteases such as trypsin, elastase, chymotrypsin, collagenase, leucocytic proteases, plasmin, and thrombin, which may be released during inflammatory reactions in the lung. In the absence of alpha-1-AT, these enzymes are not inhibited and they may digest pulmonary parenchyma. Alpha-1-AT deficiency is associated with chronic obstructive lung disease (emphysema) and less frequently with hepatic cirrhosis in infants and respiratory distress of the newborn. Increase in alpha-1-AT occurs as an acute phase response to tissue necrosis and inflammation. Serum level of alpha-1-AT is elevated in rheumatoid arthritis, bacterial infections, vasculitis, and carcinomatosis.
TRUSTED_SUSTAINABILITY
Specifications

Specifications

alpha-1 Antitrypsin
Monoclonal
1 mg/mL
PBS with 50% glycerol and 0.05% Proclin 300; pH 7.4
P01009, P07758, P17475, P50447
SERPINA1, Serpina1a
Recombinant Human a1AT protein, Glu25-Lys418 (Accession #P01009).
20 μL
Primary
Human, Mouse, Pig, Rat
Antibody
IgG1 κ
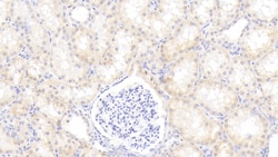
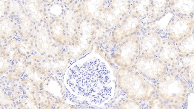
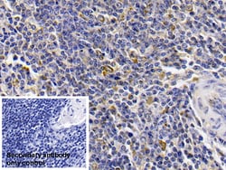
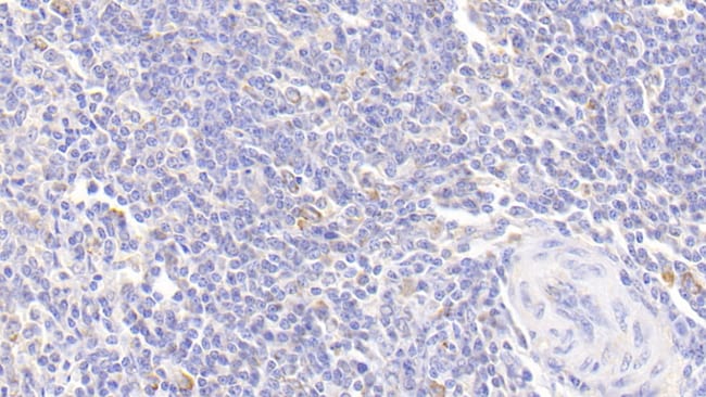
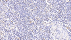
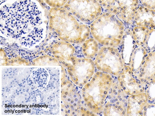
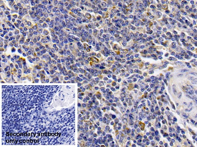
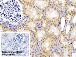
Immunohistochemistry (Paraffin), Western Blot, Immunocytochemistry
H8
Unconjugated
SERPINA1
a-1 AT; A1A; a1-antitrypsin; A1AT; AAT; Aat2; Aat-2; alpha 1 antitrypsin; alpha-1 antitrypsin; alpha-1 protease inhibitor; Alpha-1 protease inhibitor 1; alpha-1-antiproteinase; Alpha-1-antitrypsin; alpha-1-antitrypsin (protease inhibitor); alpha-1-antitrypsin 1-1; alpha-1-antitrypsin 2; alpha-1-antitrypsin null; alpha1AT; alpha-1-protease inhibitor; alpha-1-proteinase inhibitor; Digestive Zymogen; Dom1; MGC23330; MGC9222; PI; PI1; PRO0684; PRO2209; PRO2275; protease inhibitor 1 (anti-elastase), alpha-1-antitrypsin; protease inhibitor 1 (anti-elastase, antitrypsin, alpha-1); Protease Serine 1; serine (or cysteine) peptidase inhibitor, clade A, member 1A; serine (or cysteine) proteinase inhibitor, clade A (alpha-1 antiproteinase, antitrypsin), member 1; serine (or cysteine) proteinase inhibitor, clade A (alpha-1antiproteinase, antitrypsin), member 1; serine (or cysteine) proteinase inhibitor, clade A, member 1; serine (or cysteine) proteinase inhibitor, clade A, member 1a; Serine Protease 1; serine protease inhibitor 1-1; Serine protease inhibitor A1a; serine protease inhibitor alpha 1; serine proteinase inhibitor, clade A, member 1; serpin A1; Serpin A1a; serpin family A member 1; serpin peptidase inhibitor clade A member 1; serpin peptidase inhibitor, clade A (alpha-1 antiproteinase, antitrypsin), member 1; SERPINA1; Serpina1a; Short peptide from AAT; SPAAT; Spi1; Spi1-1; Spi1-3; TRP1; TRY1
Mouse
Protein A/G
RUO
20700, 24648, 397688, 5265
Store at 4°C short term. For long term storage, store at -20°C, avoiding freeze/thaw cycles.
Liquid
Product Suggestions

Product Suggestions

Videos
SDS
Documents

Documents

Certificates
Promotions

Promotions

Product Content Correction

Your input is important to us. Please complete this form to provide feedback related to the content on this product.

Product Title

By clicking Submit, you acknowledge that you may be contacted by Fisher Scientific in regards to the feedback you have provided in this form. We will not share your information for any other purposes. All contact information provided shall also be maintained in accordance with our Privacy Policy.

Thank You! Your feedback has been submitted. Fisher Scientific is always working to improve our content for you. We appreciate your feedback.