missing translation for 'onlineSavingsMsg'
Learn More
Learn More
Invitrogen™ Aldolase B Polyclonal Antibody
Rabbit Polyclonal Antibody
Brand: Invitrogen™ PA551694
This item is not returnable.
View return policy
Description
Immunogen sequence: KPNMVTAGHA CTKKYTPEQV AMATVTALHR TVPAAVPGIC FLSGGMSEED ATLNLNAINL CPLPKPWKLS FSYGRALQAS ALAAWGGKAA NKEATQEAFM KRAMANCQAA KGQYVHTGSS GAA Highest antigen sequence identity to the following orthologs: Mouse - 97%, Rat - 96%.
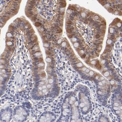
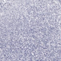
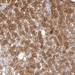
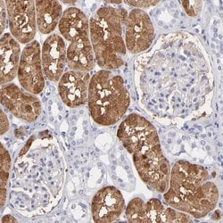
Fructose-1,6-bisphosphate aldolase is a tetrameric glycolytic enzyme that catalyzes the reversible conversion of fructose-1,6-bisphosphate to glyceraldehyde 3-phosphate and dihydroxyacetone phosphate. Vertebrates have 3 aldolase isozymes which are distinguished by their electrophoretic and catalytic properties. Differences indicate that aldolases A, B, and C are distinct proteins, the products of a family of related 'housekeeping' genes exhibiting developmentally regulated expression of the different isozymes. The developing embryo produces aldolase A, which is produced in even greater amounts in adult muscle where it can be as much as 5% of total cellular protein. In adult liver, kidney and intestine, aldolase A expression is repressed and aldolase B is produced. In brain and other nervous tissue, aldolase A and C are expressed about equally. There is a high degree of homology between aldolase A and C. Defects in ALDOB cause hereditary fructose intolerance.
Specifications
| Aldolase B | |
| Polyclonal | |
| Unconjugated | |
| Aldob | |
| ALDB; Aldo2; Aldo-2; ALDOB; Aldolase 2; aldolase 2, B isoform; Aldolase B fructose-biphosphate; Aldolase B, fructose-biphosphate; aldolase B, fructose-bisphosphatase; aldolase B, fructose-bisphosphate; aldolase, fructose-bisphosphate B; BC016435; Fructose-bisphosphate aldolase B; LIV10; Liver-type aldolase | |
| Rabbit | |
| Antigen Affinity Chromatography | |
| RUO | |
| 229 | |
| Store at 4°C short term. For long term storage, store at -20°C, avoiding freeze/thaw cycles. | |
| Liquid |
| Immunohistochemistry (Paraffin), Western Blot | |
| 0.1 mg/mL | |
| PBS with 40% glycerol and 0.02% sodium azide; pH 7.2 | |
| P05062 | |
| Aldob | |
| Recombinant protein corresponding to Human Aldolase B. Recombinant protein control fragment (Product #RP-101633). | |
| 100 μL | |
| Primary | |
| Human | |
| Antibody | |
| IgG |
Product Content Correction
Your input is important to us. Please complete this form to provide feedback related to the content on this product.
Product Title
Spot an opportunity for improvement?Share a Content Correction