missing translation for 'onlineSavingsMsg'
Learn More
Learn More
Invitrogen™ ALDH6A1 Polyclonal Antibody

Rabbit Polyclonal Antibody
Brand: Invitrogen™ PA583059
This item is not returnable.
View return policy
Description
Immunogen sequence: GNTFLMKPSE RVPGATMLLA KLLQDSGAPD GTLNIIHGQH EAVNFICDHP DIKAISFVGS NKAGEYIFER GSRHGKRVQ Highest antigen sequence indentity to the following orthologs: Rat - 97%, Mouse - 96%.
This protein belongs to the aldehyde dehydrogenases family of proteins. This enzyme plays a role in the valine and pyrimidine catabolic pathways. The product of this gene, a mitochondrial methylmalonate semialdehyde dehydrogenase, catalyzes the irreversible oxidative decarboxylation of malonate and methylmalonate semialdehydes to acetyl- and propionyl-CoA. Methylmalonate semialdehyde dehydrogenase deficiency is characterized by elevated beta-alanine, 3-hydroxypropionic acid, and both isomers of 3-amino and 3-hydroxyisobutyric acids in urine organic acids.
Specifications
| ALDH6A1 | |
| Polyclonal | |
| Unconjugated | |
| ALDH6A1 | |
| 1110038I05Rik; AI314632; aldehyde dehydrogenase 6 family member A1; aldehyde dehydrogenase 6 family, member A1; aldehyde dehydrogenase family 6 member A1; aldehyde dehydrogenase family 6, subfamily A1; Aldh6a1; malonate-semialdehyde dehydrogenase; methylmalonate semialdehyde dehydrogenase; methylmalonate-semialdehyde dehydrogenase [acylating], mitochondrial; MGC40271; mitochondrial acylating methylmalonate-semialdehyde dehydrogenase; MMSADHA; Mmsdh; testicular tissue protein Li 122 | |
| Rabbit | |
| Antigen affinity chromatography | |
| RUO | |
| 104776, 4329, 81708 | |
| Store at 4°C short term. For long term storage, store at -20°C, avoiding freeze/thaw cycles. | |
| Liquid |
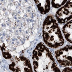
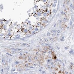
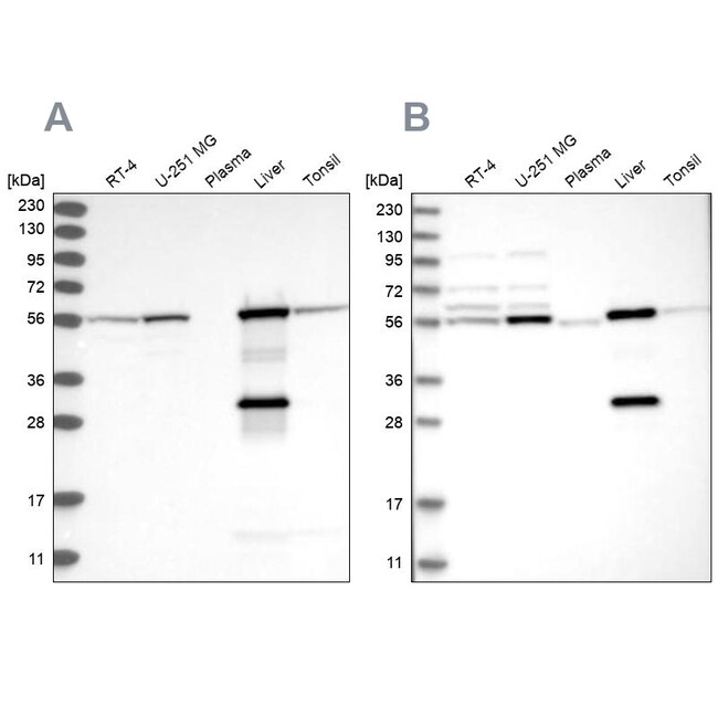
| Immunohistochemistry (Paraffin), Western Blot, Immunocytochemistry | |
| 0.2 mg/mL | |
| PBS with 40% glycerol and 0.02% sodium azide; pH 7.2 | |
| Q02252, Q02253, Q9EQ20 | |
| ALDH6A1 | |
| Recombinant protein corresponding to Human ALDH6A1. Recombinant protein control fragment (Product #RP-95626). | |
| 100 μL | |
| Primary | |
| Human, Mouse, Rat | |
| Antibody | |
| IgG |
Product Content Correction
Your input is important to us. Please complete this form to provide feedback related to the content on this product.
Product Title
Spot an opportunity for improvement?Share a Content Correction