missing translation for 'onlineSavingsMsg'
Learn More

Ago2/eIF2C2 Rabbit anti-Mouse, Clone: 36, Novus Biologicals™

Rabbit Monoclonal Antibody

Brand:  Novus Biologicals NBP2-90675-100UL

 View more versions of this product

Product Code. 18287236

  • £448.00 / 100µL

Please to purchase this item. Need a web account? Register with us today!

This item is not returnable. View return policy

Description

Description

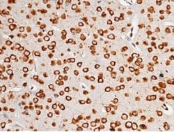
Ago2/eIF2C2 Monoclonal specifically detects Ago2/eIF2C2 in Mouse samples. It is validated for ELISA, Immunohistochemistry, Immunoprecipitation, Immunohistochemistry-Paraffin.
TRUSTED_SUSTAINABILITY
Specifications

Specifications

Ago2/eIF2C2
Monoclonal
Unconjugated
0.2 um filtered solution in PBS
Rabbit
Protein A purified
RUO
Primary
Mouse
Purified
ELISA, Immunohistochemistry, Immunoprecipitation, Immunohistochemistry (Paraffin)
36
ELISA 1:5000-1:10000, Immunohistochemistry, Immunoprecipitation 1-4 ul/mg of lysate, Immunohistochemistry-Paraffin 1:100-1:500
AGO2argonaute 2, argonaute2, EC 3.1.26.n1, EC 3.1.26.n2, eIF2C 2, eIF-2C 2, Eukaryotic translation initiation factor 2C 2, eukaryotic translation initiation factor 2C, 2, hAgo2, MGC3183, PAZ Piwi domain protein, PPD, protein argonaute-2, Protein slicer, Q10
Recombinant Mouse Ago2/eIF2C2 protein
100 μg
Epigenetics
27161
Store at 4°C short term. Aliquot and store at -20°C long term. Avoid freeze-thaw cycles.
IgG
Product Suggestions

Product Suggestions

Videos
SDS
Documents

Documents

Certificates
Promotions

Promotions

Product Content Correction

Your input is important to us. Please complete this form to provide feedback related to the content on this product.

Product Title

By clicking Submit, you acknowledge that you may be contacted by Fisher Scientific in regards to the feedback you have provided in this form. We will not share your information for any other purposes. All contact information provided shall also be maintained in accordance with our Privacy Policy.

Thank You! Your feedback has been submitted. Fisher Scientific is always working to improve our content for you. We appreciate your feedback.