missing translation for 'onlineSavingsMsg'
Learn More
Learn More
Invitrogen™ ADORA1 Polyclonal Antibody

Rabbit Polyclonal Antibody
Brand: Invitrogen™ PA533321
This item is not returnable.
View return policy
Description
Percent identity with other species by BLAST analysis: Human, Orangutan, Monkey (100%).
Adenosine receptors (ARs) are members of the 7-transmembrane domain G-protein-coupled receptor superfamily. Structural, biochemical and pharmacological analyses of the AR genes and protein has led to the discovery of four distinct AR subtypes (A1, A2a, A2b, A3). Activation of ARs mediates several receptor subtype-specific physiological processes that include cardiac rate, smooth muscle tone, platelet aggregation, inflammation, cell growth and death, and neurotransmission. The A1AR is a glycoprotein that can activate Gi and Go proteins in vitro. In intact cells, agonist occupation of the A1AR has been shown to cause pertussis toxin-sensitive inhibition of adenylyl cyclase activity and, in some systems, a stimulation of phospholipase C resulting in mobilization of intracellular calcium stores. Activation of potassium channels by A1AR has been intensively studied in relation to its dramatic effects on the cardiovascular system. A1AR protein is highly expressed in brain (especially cerebellum, hippocampus, thalamus, and cortex) and spinal cord and in part, modulates neurotransmitter release. In white adipocytes A1AR inhibits lipolysis and stimulates glucose uptake. Other tissues also express A1AR including kidney and testis.
Specifications
| ADORA1 | |
| Polyclonal | |
| Unconjugated | |
| ADORA1 | |
| A1AR; A1-AR; A1R; AA1R; adenosine A1 receptor; adenosine A1 receptor variant 1; adenosine A1 receptor variant 2; adenosine receptor A1; ADO-A1 receptor; ADORA1; AI848715; AR; BB176431; RDC7; Ri | |
| Rabbit | |
| Antigen affinity chromatography | |
| RUO | |
| 134, 29290 | |
| Store at 4°C short term. For long term storage, store at -20°C, avoiding freeze/thaw cycles. | |
| Liquid |
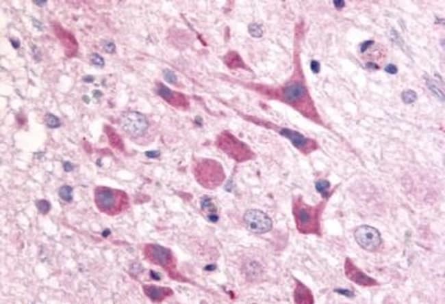
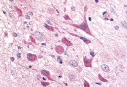
| Immunohistochemistry (Paraffin) | |
| 1 mg/mL | |
| PBS with 0.1% sodium azide | |
| P25099, P30542 | |
| ADORA1 | |
| Synthetic 20 amino acid peptide from 2nd extracellular domain of human Adenosine A1 Receptor. | |
| 50 μg | |
| Primary | |
| Human, Rat | |
| Antibody | |
| IgG |
Product Content Correction
Your input is important to us. Please complete this form to provide feedback related to the content on this product.
Product Title
Spot an opportunity for improvement?Share a Content Correction