missing translation for 'onlineSavingsMsg'
Learn More
Learn More
Invitrogen™ Adiponectin Recombinant Rabbit Monoclonal Antibody (PSH05-48)

Rabbit Recombinant Monoclonal Antibody
Brand: Invitrogen™ MA556407
This item is not returnable.
View return policy
Description
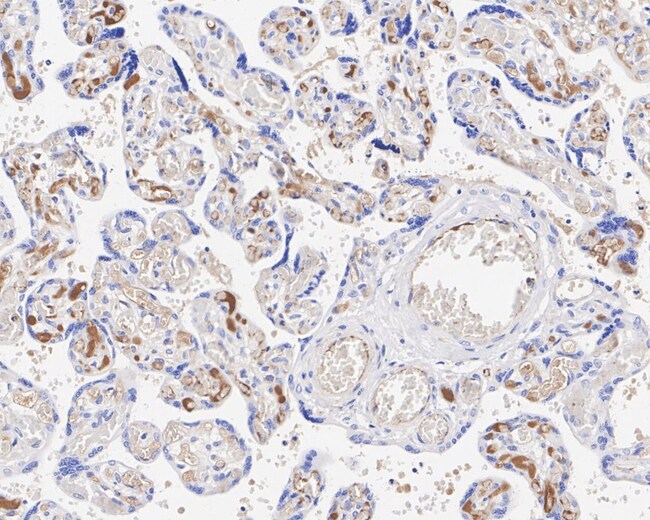
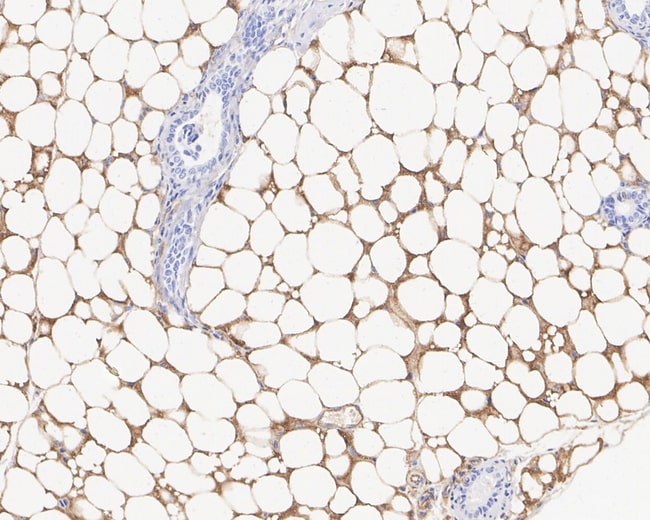
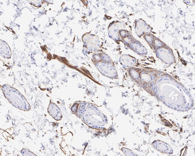
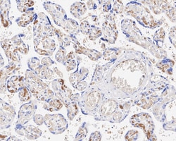
Adiponectin Recombinant Monoclonal Antibody for Western Blot, IHC (P)
Adiponectin is a protein hormone secreted exclusively by adipocytes that regulates the metabolism of lipids and glucose. Adiponectin has been shown to play a role in various physiological processes including homeostasis and obesity. Decreased levels of adiponectin are associated with obese individuals as well as insulin resistance and hyperinsulinemia (type 2 diabetes). In mice adiponectin has been shown to improve insulin signaling, thus ameliorating insulin resistance. Through activation of AMP kinase and PPAR-alpha, adiponectin can increase fatty acid transport, oxidation, and dissipation in skeletal muscle, leading to a reduction of intramyocellular lipid levels and thus improved insulin signaling.
Specifications
| Adiponectin | |
| Recombinant Monoclonal | |
| 1 mg/mL | |
| PBS with 0.1% BSA, 40% glycerol and 0.05% sodium azide; pH 7.4 | |
| Q15848, Q60994 | |
| ADIPOQ | |
| Recombinant protein within human Adiponectin aa 1-244/244. | |
| 100 μL | |
| Primary | |
| Human, Mouse, Rat | |
| Antibody | |
| IgG |
| Immunohistochemistry (Paraffin), Western Blot | |
| PSH05-48 | |
| Unconjugated | |
| ADIPOQ | |
| 30 kDa adipocyte complement-related protein; 30kDa; Acdc; Acrp30; Ad; adipo; adipocyte complement related protein; adipocyte complement related protein of 30 kDa; adipocyte complement-related 30 kDa protein; adipocyte complement-related protein of 30 kDa; adipocyte, C1Q and collagen domain containing; adipocyte, C1q and collagen domain-containing protein; Adipocyte-specific protein AdipoQ; adiponectin; adiponectin, C1Q and collagen domain containing; Adipoq; Adipose most abundant gene transcript 1 protein; adipose specific collagen-like factor; ADIPQTL1; ADPIOQ; ADPN; Apm1; APM-1; APN; GBP28; Gelatin-binding protein; gelatin-binding protein 28 | |
| Rabbit | |
| Protein A | |
| RUO | |
| 11450, 246253, 9370 | |
| Store at 4°C short term. For long term storage, store at -20°C, avoiding freeze/thaw cycles. | |
| Liquid |
Product Content Correction
Your input is important to us. Please complete this form to provide feedback related to the content on this product.
Product Title
Spot an opportunity for improvement?Share a Content Correction