Learn More
Invitrogen™ Adenylate Kinase 2 Polyclonal Antibody

Rabbit Polyclonal Antibody
Brand: Invitrogen™ PA529361
Description
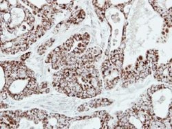
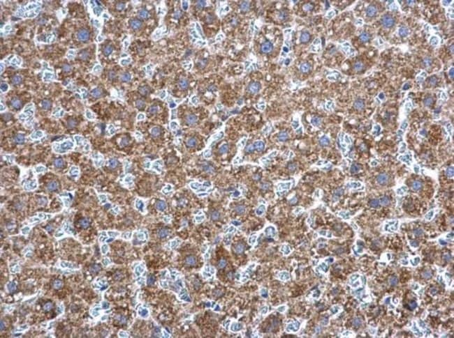
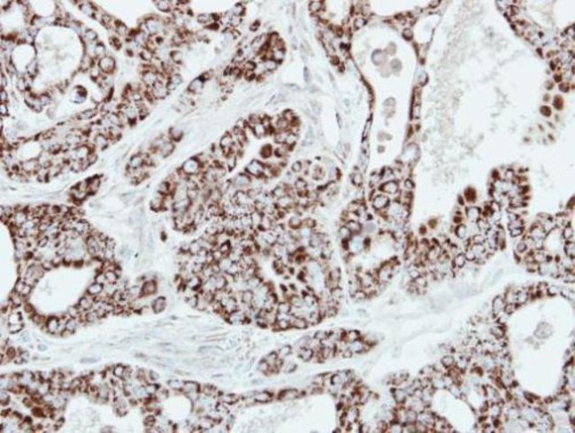
Recommended positive controls: 293T, A431, H1299, HeLa, HepG2, Molt-4, Raji. Predicted reactivity: Mouse (96%), Rat (95%), Zebrafish (87%), Xenopus laevis (86%), Rhesus Monkey (100%), Bovine (95%). Store product as a concentrated solution. Centrifuge briefly prior to opening the vial.
Adenylate kinases are involved in regulating the adenine nucleotide composition within a cell by catalyzing the reversible transfer of phosphate groups among adenine nucleotides. Three isozymes of adenylate kinase, namely 1, 2, and 3, have been identified in vertebrates; this gene encodes isozyme 2. Expression of these isozymes is tissue-specific and developmentally regulated. Isozyme 2 is localized in the mitochondrial intermembrane space and may play a role in apoptosis. Two transcript variants encoding distinct isoforms have been identified for this gene.
Specifications
| Adenylate Kinase 2 | |
| Polyclonal | |
| Unconjugated | |
| AK2 | |
| adenylate kinase 2; adenylate kinase 2, mitochondrial; adenylate kinase 2, mitochondrial {ECO:0000255; Adenylate kinase 2, mitochondrial, N-terminally processed; adenylate kinase isoenzyme 2, mitochondrial; adenylate monophosphate kinase; adenylate monophosphate kinase {ECO:0000255; ADK2; AK 2; AK 2 {ECO:0000255; Ak2; Ak-2; ATP:AMP phosphotransferase; ATP:AMP phosphotransferase {ECO:0000255; ATP-AMP transphosphorylase 2; ATP-AMP transphosphorylase 2 {ECO:0000255; D4Ertd220e; HAMAP-Rule:MF_03168}; si:ch211-197n10.1; testis secretory sperm-binding protein Li 220n; wu:fb34f05; wu:fj80e03 | |
| Rabbit | |
| Antigen affinity chromatography | |
| RUO | |
| 204, 24184 | |
| Store at 4°C short term. For long term storage, store at -20°C, avoiding freeze/thaw cycles. | |
| Liquid |
| Immunohistochemistry (Paraffin), Western Blot, Immunocytochemistry | |
| 1 mg/mL | |
| 0.1M tris glycine with 10% glycerol and 0.01% thimerosal; pH 7 | |
| P29410, P54819 | |
| AK2 | |
| Recombinant protein encompassing a sequence within the center region of human Adenylate kinase 2. The exact sequence is proprietary. | |
| 100 μL | |
| Primary | |
| Human, Rat | |
| Antibody | |
| IgG |
Your input is important to us. Please complete this form to provide feedback related to the content on this product.