missing translation for 'onlineSavingsMsg'
Learn More

Novus Biologicals™ Rho A/B/C Antibody (SR1355), Novus Biologicals™

Rabbit Monoclonal Antibody

Brand:  Novus Biologicals™ NBP3-27831-50ul

 View more versions of this product

Product Code. 30041604

  • £240.00 / 50µL

Please to purchase this item. Need a web account? Register with us today!

This item is not returnable. View return policy

Description

Description

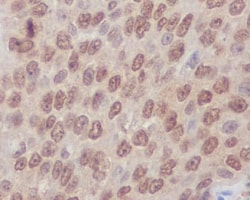
Rho A/B/C Monoclonal antibody specifically detects Rho A/B/C in Human,Mouse,Rat samples. It is validated for Flow Cytometry,Immunohistochemistry,Western Blot,Immunocytochemistry/ Immunofluorescence
TRUSTED_SUSTAINABILITY
Specifications

Specifications

Rho A/B/C
Monoclonal
Unconjugated
PBS (pH 7.4), 150mM NaCl, 50% glycerol
Rabbit
Affinity purified
RUO
387
Store at 4°C short term. Aliquot and store at -20°C long term. Avoid freeze/thaw cycles.
IgG
Flow Cytometry, Immunohistochemistry, Western Blot, Immunocytochemistry/Immunofluorescence
SR1355
Western Blot 1:500-1:2000, Flow Cytometry 1:200, Immunohistochemistry 1:500-1:1000, Immunocytochemistry/ Immunofluorescence 1:100-1:500
Aplysia ras-related homolog 12, Aplysia RAS-related homolog 6, ARH12, ARH6, ARH9, ARHA, ARHB, ARHC, EDFAOB, epididymis secretory sperm binding protein, h6, H9, MST081, MSTP081, oncogene RHO H12, oncogene RHO H6, oncogene RHO H9, ras homolog gene family, member B, ras homolog gene family, member C, RAS-related homolog 9, Rho cDNA clone 6, RHO12, rhoC GTPase, RHOH12, RHOH6, RHOH9, rho-related GTP-binding protein RhoB, rho-related GTP-binding protein RhoC, small GTP binding protein RhoA, small GTP binding protein RhoC, transforming protein RhoA
A synthesized peptide derived from human Rho A/B/C (Uniprot #: P61586/P62745/P08134 )
50 μL
Primary
Human, Mouse, Rat
Purified
Product Suggestions

Product Suggestions

Videos
SDS
Documents

Documents

Certificates
Promotions

Promotions

Product Content Correction

Your input is important to us. Please complete this form to provide feedback related to the content on this product.

Product Title

By clicking Submit, you acknowledge that you may be contacted by Fisher Scientific in regards to the feedback you have provided in this form. We will not share your information for any other purposes. All contact information provided shall also be maintained in accordance with our Privacy Policy.

Thank You! Your feedback has been submitted. Fisher Scientific is always working to improve our content for you. We appreciate your feedback.