missing translation for 'onlineSavingsMsg'
Learn More

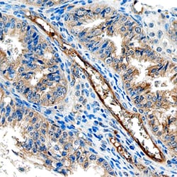
Human ACP6 Antibody, R&D Systems™
GREENER_CHOICE

Sheep Polyclonal Antibody

Brand:  R&D Systems AF7766-SP

Product Code. 18760808

  • £168.00 / 25µg

Please to purchase this item. Need a web account? Register with us today!

This item is not returnable. View return policy

Description

Description

ACP6 Polyclonal specifically detects ACP6 in Human samples. It is validated for Western Blot, Immunohistochemistry.
TRUSTED_SUSTAINABILITY
Specifications

Specifications

ACP6
Polyclonal
Unconjugated
Lyophilized from a 0.2 μm filtered solution in PBS with Trehalose. *Small pack size (SP) is supplied as a 0.2 μm filtered solution in PBS. with No Preservative
acid phosphatase 6, lysophosphatidicPACPL1, Acid phosphatase-like protein 1, ACPL1, ACPL1acid phosphatase like 1, EC 3.1.3.2, LPAP, LPAPlysophosphatidic acid phosphatase type 6, PACPL1
Sheep
Affinity Purified
RUO
51205
Reconstitute at 0.2 mg/mL in sterile PBS.
Use a manual defrost freezer and avoid repeated freeze-thaw cycles. 12 months from date of receipt, -20 to -70 degreesC as supplied. 1 month, 2 to 8 degreesC under sterile conditions after reconstitution. 6 months, -20 to -70 degreesC under sterile conditions after reconstitution.
Western Blot, Immunohistochemistry
LYOPH
Western Blot 1 ug/mL, Immunohistochemistry 5-15 ug/mL
BAA91310
ACP6
Chinese hamster ovary cell line CHO-derived recombinant human ACP6 Glu33-Glu428 Accession # BAA91310
25 μg
Primary
Detects human ACP6 in direct ELISAs and Western blots.
Human
IgG
Product Suggestions

Product Suggestions

Videos
SDS
Documents

Documents

Certificates
Promotions

Promotions

Product Content Correction

Your input is important to us. Please complete this form to provide feedback related to the content on this product.

Product Title

By clicking Submit, you acknowledge that you may be contacted by Fisher Scientific in regards to the feedback you have provided in this form. We will not share your information for any other purposes. All contact information provided shall also be maintained in accordance with our Privacy Policy.

Thank You! Your feedback has been submitted. Fisher Scientific is always working to improve our content for you. We appreciate your feedback.

For Research Use Only