missing translation for 'onlineSavingsMsg'
Learn More
Learn More
UVRAG Rabbit Polyclonal Antibody, Proteintech
Rabbit Polyclonal Antibody
Brand: Proteintech 29190-1-AP-20UL
This item is not returnable.
View return policy
Description
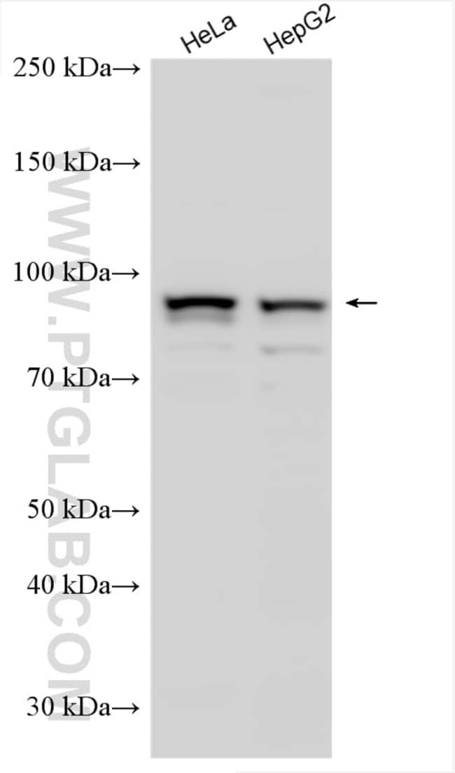
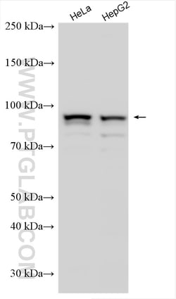
The UVRAG antibody from Proteintech is a rabbit polyclonal antibody generated with recombinant protein of human UVRAG. This antibody recognizes human, mouse, rat antigen. The UVRAG antibody has been validated for the following applications: WB, ELISA analysis.Specifications
| UVRAG | |
| Polyclonal | |
| Unconjugated | |
| Rabbit | |
| Antigen affinity purification | |
| RUO | |
| 7405 | |
| Store at -20°C. Stable for one year after shipment. | |
| Polyclonal Antibody | |
| IgG |
| Western Blot, ELISA | |
| 700 μg/mL | |
| DHTX; p63 | |
| Recombinant Protein | |
| 20 μL | |
| Primary | |
| Human, Mouse, Rat | |
| 90 kDa | |
| Liquid |
Product Content Correction
Your input is important to us. Please complete this form to provide feedback related to the content on this product.
Product Title
Spot an opportunity for improvement?Share a Content Correction