missing translation for 'onlineSavingsMsg'
Learn More

dynactin 4 Antibody (3G9D7) - BSA Free, Novus Biologicals™

Mouse Monoclonal Antibody

Brand:  Novus Biologicals NBP2-37399-0.025ml

 View more versions of this product

Product Code. 18644356

  • £161.00 / 0.03mL

Please to purchase this item. Need a web account? Register with us today!

This item is not returnable. View return policy

Description

Description

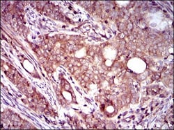
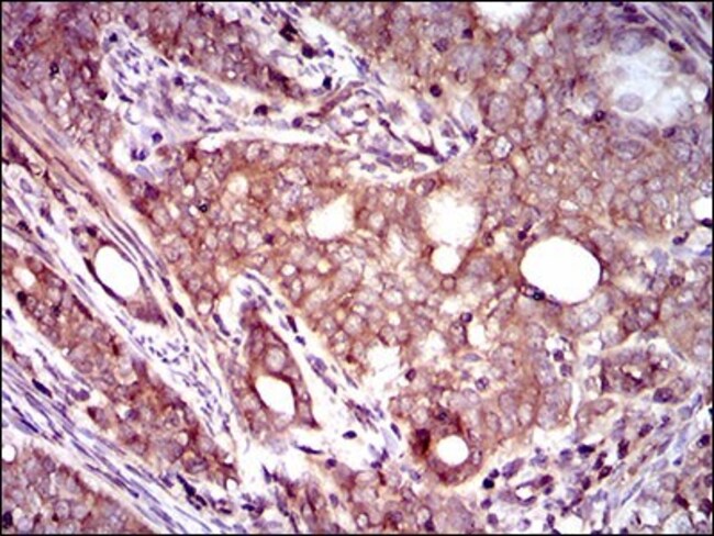
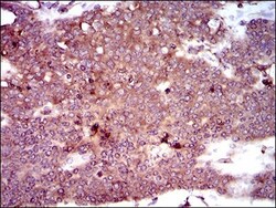
dynactin 4 Monoclonal specifically detects dynactin 4 in Human samples. It is validated for Western Blot, Flow Cytometry, ELISA, Immunohistochemistry, Immunocytochemistry/Immunofluorescence, Immunohistochemistry-Paraffin, CyTOF-ready.
TRUSTED_SUSTAINABILITY
Specifications

Specifications

dynactin 4
Monoclonal
1 mg/mL
Western Blot 1:500 - 1:2000, Flow Cytometry 1:200 - 1:400, ELISA 1:10000, Immunohistochemistry 1:200 - 1:1000, Immunocytochemistry/Immunofluorescence 1:200 - 1:1000, Immunohistochemistry-Paraffin 1:200 - 1:1000, CyTOF-ready
dynactin 4 (p62), dynactin p62 subunit, dynactin subunit 4, Dynactin subunit p62
Mouse
52.3 kDa
0.025 mL
Primary
Human
IgG1
Western Blot, Flow Cytometry, ELISA, Immunohistochemistry, Immunocytochemistry, Immunofluorescence, Immunohistochemistry (Paraffin)
3G9D7
Unconjugated
PBS with 0.05% Sodium Azide
DCTN4
Purified recombinant fragment of human DCTN4 (AA: 57-298) expressed in E. Coli.
Affinity Purified
RUO
51164
Store at 4°C short term. Aliquot and store at-20°C long term. Avoid freeze/thaw cycles.
Product Suggestions

Product Suggestions

Videos
SDS
Documents

Documents

Certificates
Promotions

Promotions

Product Content Correction

Your input is important to us. Please complete this form to provide feedback related to the content on this product.

Product Title

By clicking Submit, you acknowledge that you may be contacted by Fisher Scientific in regards to the feedback you have provided in this form. We will not share your information for any other purposes. All contact information provided shall also be maintained in accordance with our Privacy Policy.

Thank You! Your feedback has been submitted. Fisher Scientific is always working to improve our content for you. We appreciate your feedback.

For Research Use Only