missing translation for 'onlineSavingsMsg'
Learn More
Learn More
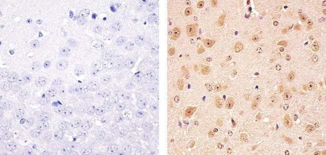
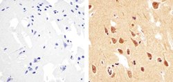
Invitrogen™ Phospho-PTEN (Thr383) Polyclonal Antibody

Description
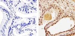
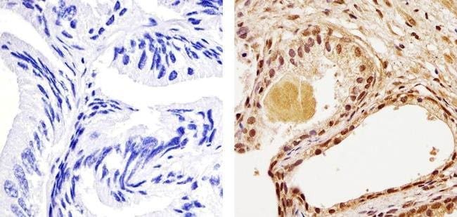
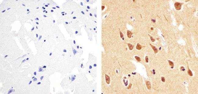
Phospho-PTEN (Thr383) Polyclonal Antibody for Western Blot, IHC (P)
PTEN was identified as a tumor suppressor that is mutated in a large number of cancers at high frequency. The PTEN gene is a phosphatidylinositol-3, 4, 5-trisphosphate 3-phosphatase. It contains a tensin like domain as well as a catalytic domain similar to that of the dual specificity protein tyrosine phosphatases. Unlike most of the protein tyrosine phosphatases, this protein preferentially dephosphorylates phosphoinositide substrates. PTEN negatively regulates intracellular levels of phosphatidylinositol-3, 4, 5-trisphosphate in cells and functions as a tumor suppressor by negatively regulating AKT/PKB signaling pathway. PTEN plays a role as a key modulator of the AKT-mTOR signaling pathway controlling the tempo of the process of newborn neurons integration during adult neurogenesis, including correct neuron positioning, dendritic development and synapse formation. Also, PTEN may be a negative regulator of insulin signaling and glucose metabolism in adipose tissue. The nuclear monoubiquitinated form possesses greater apoptotic potential, whereas the cytoplasmic nonubiquitinated form of PTEN induces less tumor suppressive ability.
Specifications
Specifications
| Antigen | Phospho-PTEN (Thr383) |
| Applications | Immunohistochemistry (Paraffin), Western Blot |
| Classification | Polyclonal |
| Conjugate | Unconjugated |
| Formulation | Dulbecco's PBS with 1mg/mL BSA and 0.05% sodium azide; pH 7.3 |
| Gene | PTEN |
| Gene Accession No. | O08586, P60484 |
| Gene Alias | 10q23del; 2310035O07Rik; A130070J02Rik; AI463227; B430203M17Rik; BZS; CWS1; DEC; GLM2; homolog of human mutated in multiple advanced cancers; MHAM; mitochondrial phosphatase and tensin protein alpha; mitochondrial PTENalpha; Mmac; MMAC1; MMAC1 phosphatase and tensin homolog deleted on chromosome 10; mutated in multiple advanced cancers 1; Phosphatase and tensin homolog; phosphatase and tensin homolog (mutated in multiple advanced cancers 1); phosphatase and tensin homolog deleted on chromosome ten; phosphatase and tensin-like protein; phosphatidylinositol 3; phosphatidylinositol 3,4,5-trisphosphate 3-phosphatase and dual-specificity protein phosphatase PTEN; phosphatidylinositol-3; phosphatidylinositol-3,4,5-trisphosphate 3-phosphatase and dual-specificity protein phosphatase PTEN; protein tyrosine phosphatase and tensin-like protein; PTEN; pten tumor suppressor; PTEN1; TEP1 |
| Gene Symbols | PTEN |
| Host Species | Rabbit |
| Show More |
Product Title
By clicking Submit, you acknowledge that you may be contacted by Fisher Scientific in regards to the feedback you have provided in this form. We will not share your information for any other purposes. All contact information provided shall also be maintained in accordance with our Privacy Policy.
Spot an opportunity for improvement?