missing translation for 'onlineSavingsMsg'
Learn More
Learn More
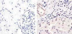
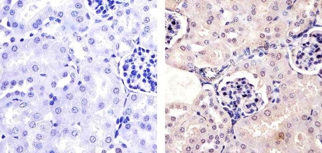
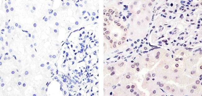
Invitrogen™ Phospho-PAX2 (Ser393) Polyclonal Antibody

Description
Phospho-PAX2 (Ser393) Polyclonal Antibody for Western Blot, IHC (P), ELISA
The pax genes are a family of transcription factors that are active in specific tissues during early embryonic development. Pax family members possess a DNA-binding domain encoded by the paired box. Because paired domain containing genes encode transcription factors, they are capable of executing a genetic program. Several pax genes have also been associated with developmental mutations including: pax-3, which is associated with Waardenburg syndrome, pax-6, which is associated with Aniridia, and pax-2, which is associated with Wilms tumor. During embryogenesis, Pax-2 is expressed in the developing kidney. In particular, the pax-2 gene is expressed in condensing metanephric mesenchyme and in early epithelial structures derived from mesenchyme; however, pax-2 mRNA and protein levels are rapidly down regulated as the tubular epithelium matures. Although Pax-2 is down regulated during renal epithelium maturation, Pax-2 expression persists in the undifferentiated epithelium of Wilms' tumors. Persistent expression of Pax-2 in Wilms' tumors occurs frequently and correlates with the proliferation of poorly differentiated epithelial cells in these tumors. Interestingly, expression of the Wilms' tumor suppresser protein, WT1, coincides with down-regulation of the pax-2 gene; thus, suggesting that WT1 can directly repress pax-2 transcription.
Specifications
Specifications
| Antigen | Phospho-PAX2 (Ser393) |
| Applications | ELISA, Immunohistochemistry (Paraffin), Western Blot |
| Classification | Polyclonal |
| Concentration | 0.25 mg/mL |
| Conjugate | Unconjugated |
| Formulation | PBS with 0.1% sodium azide; pH 7.4 |
| Gene | PAX2 |
| Gene Accession No. | P32114, Q02962 |
| Gene Alias | FSGS7; Opdc; optic disc coloboma; paired box 2; paired box gene 2; paired box homeotic gene 2; paired box protein Pax-2; PAPRS; PAX2; Pax-2 |
| Gene Symbols | PAX2 |
| Show More |
Product Title
By clicking Submit, you acknowledge that you may be contacted by Fisher Scientific in regards to the feedback you have provided in this form. We will not share your information for any other purposes. All contact information provided shall also be maintained in accordance with our Privacy Policy.
Spot an opportunity for improvement?