missing translation for 'onlineSavingsMsg'
Learn More
Learn More
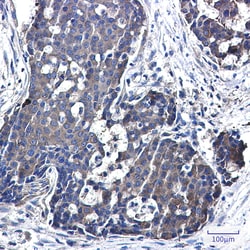
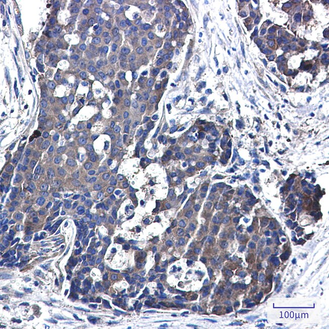
Invitrogen™ NME3 Recombinant Rabbit Monoclonal Antibody (K01_2N58)

Description
Immunogen sequence: SEELLREHYA ELRE.
NME3 mRNA is preferentially expressed at early stages of myeloid differentiation of highly purified CD34(+) cells. Its constitutive expression in a myeloid precursor line, which is growth-factor dependent for both proliferation and differentiation, results in inhibition of granulocytic differentiation induced by granulocyte colony-stimulating factor and causes apoptotic cell death. These results appear consistent with a role for the NME3 gene in normal hematopoiesis and raise the possibility that its overexpression contributes to differentiation arrest, a feature of blastic transformation in chronic myelogenous leukemia.
Specifications
Specifications
| Antigen | NME3 |
| Applications | Immunohistochemistry (Paraffin), Western Blot |
| Classification | Recombinant Monoclonal |
| Clone | K01_2N58 |
| Concentration | 1 mg/mL |
| Conjugate | Unconjugated |
| Formulation | 50mM tris glycine with 40% glycerol, 150mM NaCl, 0.05% BSA and 0.01% sodium azide; pH 7.4 |
| Gene | NME3 |
| Gene Accession No. | Q13232 |
| Gene Alias | 1810009F08Rik; AI413736; c371H6.2; DR-nm23; expressed in non-metastatic cells 3; expressed in non-metastatic cells 3 protein (nucleoside diphosphate kinase); expressed in non-metastatic cells 3, protein (nucleoside diphosphate kinase); NDK 3; Ndk3; NDP kinase 3; NDP kinase C; NDPKC; NDPK-C; NM23-dr; NM23H3; nm23-H3; nm23-M3; NME/NM23 nucleoside diphosphate kinase 3; Nme3; non-metastatic cell expressed protein 3; non-metastatic cells 3, protein expressed in; nucleoside diphosphate kinase 3; Nucleoside diphosphate kinase C; nucleoside diphosphate kinase DR-nm23 |
| Show More |
Product Title
By clicking Submit, you acknowledge that you may be contacted by Fisher Scientific in regards to the feedback you have provided in this form. We will not share your information for any other purposes. All contact information provided shall also be maintained in accordance with our Privacy Policy.
Spot an opportunity for improvement?