missing translation for 'onlineSavingsMsg'
Learn More
Learn More
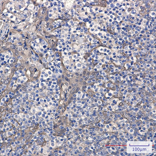
Invitrogen™ Cystatin B Recombinant Rabbit Monoclonal Antibody (K01_2M05)

Description
Cystatin B Recombinant Monoclonal Antibody for IHC (P), Western Blot
Cystatin A (also designated STF1, STFA, stefin A or cystatin AS) and cystatin B (also designated PME, CST6, STFB, CPI-B, stefin B and liver thiol proteinase inhibitor) are thiol protease inhibitors that form complexes with Papain and the cathepsins B, H and L. Cystatin A, a cytoplasmic protein, is one of the precursor proteins of the cornified cell envelope in keratinocytes and plays a role in epidermal development and maintenance. Cystatin B protects against intracellular proteases leaking out of lysosomes and is primarily expressed in heart, liver and kidney.
Specifications
Specifications
| Antigen | Cystatin B |
| Applications | Immunohistochemistry (Paraffin), Western Blot |
| Classification | Recombinant Monoclonal |
| Clone | K01_2M05 |
| Concentration | 1 mg/mL |
| Conjugate | Unconjugated |
| Formulation | 50mM tris glycine with 40% glycerol, 0.05% BSA, 150mM NaCl and 0.01% sodium azide; pH 7.4 |
| Gene | CSTB |
| Gene Accession No. | P01041, P04080 |
| Gene Alias | AA960480; CPI-B; Cst6; CSTB; Cyb; cystatin B; cystatin B (stefin B); cystatin B protein; cystatin beta; cystatin-B; Cystatin-beta; Epm1; EPM1A; Liver thiol proteinase inhibitor; LOC101123010; PME; stefin B; Stefin-B; stefin-C; Stfb; ULD; Unknown (protein for MGC:134609) |
| Show More |
Product Title
By clicking Submit, you acknowledge that you may be contacted by Fisher Scientific in regards to the feedback you have provided in this form. We will not share your information for any other purposes. All contact information provided shall also be maintained in accordance with our Privacy Policy.
Spot an opportunity for improvement?