missing translation for 'onlineSavingsMsg'
Learn More
Learn More
Invitrogen™ GCP5 Polyclonal Antibody

Rabbit Polyclonal Antibody
Brand: Invitrogen™ PA5116088
This item is not returnable.
View return policy
Description
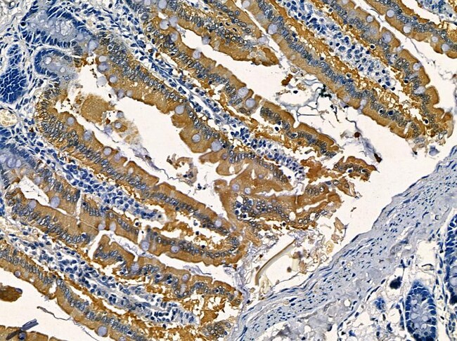
Antibody detects endogenous levels of total TUBGCP5.
The gamma-Tubulin complex is composed of gamma Tubulin and the gamma-Tubulin complex associated proteins GCP2, GCP3, GCP4, GCP5 and GCP6, all of which are essential components of microtubule organizing centers. gamma-Tubulin complex components are localized to both the centrosome, where they are involved in microtubule nucleation, and to the cytoplasm, where they exist as soluble complexes that can be recruited to the centrosome as needed. Although the GCP proteins are related, they have distinct roles which contribute to the proper function of the gamma-Tubulin complex. GCP5 ( gamma-Tubulin complex component 5), also known as TUBGCP5, is a 1, 024 amino acid member of the gamma-Tubulin complex and is highly expressed in heart and skeletal muscle. Defects in the gene encoding GCP5 are implicated in Prader-Willi syndrome (PWS), a rare genetic disorder associated with obesity, compulsive behavior and lower intellectual ability.
Specifications
| GCP5 | |
| Polyclonal | |
| Unconjugated | |
| Tubgcp5 | |
| B130010C12Rik; Gamma-tubulin complex component 5; gamma-tubulin complex component GCP5; GCP5; GCP-5; KIAA1899; mKIAA1899; Tubgcp5; tubulin gamma complex associated protein 5; tubulin, gamma complex associated protein 5 | |
| Rabbit | |
| Affinity Chromatography | |
| RUO | |
| 114791, 233276, 308663 | |
| -20°C | |
| Liquid |
| Immunohistochemistry (Paraffin), Western Blot, Immunocytochemistry | |
| 1 mg/mL | |
| PBS with 50% glycerol and 0.02% sodium azide | |
| Q8BKN5, Q96RT8 | |
| Tubgcp5 | |
| A synthesized peptide derived from human TUBGCP5(Accession Q96RT8), corresponding to amino acid residues Y512-A562. | |
| 100 μL | |
| Primary | |
| Human, Mouse, Rat | |
| Antibody | |
| IgG |
Product Content Correction
Your input is important to us. Please complete this form to provide feedback related to the content on this product.
Product Title
Spot an opportunity for improvement?Share a Content Correction