missing translation for 'onlineSavingsMsg'
Learn More
Learn More
Invitrogen™ DDB1 Polyclonal Antibody

Rabbit Polyclonal Antibody
Brand: Invitrogen™ PA5115104
This item is not returnable.
View return policy
Description
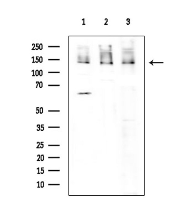
Antibody detects endogenous levels of total DDB1.
The DNA damage-binding protein from HeLa cells is associated with polypeptides of relative mass 124,000 (DDB1) and 41,000 (DDB2) as determined by SDS-polyacrylamide gels. To test whether the DNA-repair defect in the subset of XPE patients that lack DNA damage-binding activity is caused by a defect in DDB, Keeney et al. (1994) injected purified human DDB protein into XPE cells.
Specifications
| DDB1 | |
| Polyclonal | |
| Unconjugated | |
| DDB1 | |
| 127kDa; AA408517; damage specific DNA binding protein 1; damaged-DNA recognition protein 1; damage-specific DNA binding protein 1, 127kDa; damage-specific DNA-binding protein 1; damage-specific DNA-binding protein, DNA repair; DDB p127 subunit; DDB1; DDBa; DNA damage-binding protein 1; DNA damage-binding protein a; DNA repair protein; HBV X-associated protein 1; p127-Ddb1; UV-damaged DNA-binding factor; UV-damaged DNA-binding protein 1; UV-DDB 1; UV-DDB1; XAP1; XAP-1; xeroderma pigmento; Xeroderma pigmentosum group E-complementing protein; XPCE; XPE; XPE-BF; XPE-binding factor | |
| Rabbit | |
| Affinity chromatography | |
| RUO | |
| 13194, 1642, 64470 | |
| -20°C | |
| Liquid |
| Immunohistochemistry (Paraffin), Western Blot, Immunocytochemistry | |
| 1 mg/mL | |
| PBS with 50% glycerol and 0.02% sodium azide | |
| Q16531, Q3U1J4, Q9ESW0 | |
| DDB1 | |
| A synthesized peptide derived from human DDB1(Accession Q16531), corresponding to amino acid residues V1108-H1140. | |
| 100 μL | |
| Primary | |
| Human, Mouse, Rat | |
| Antibody | |
| IgG |
Product Content Correction
Your input is important to us. Please complete this form to provide feedback related to the content on this product.
Product Title
Spot an opportunity for improvement?Share a Content Correction